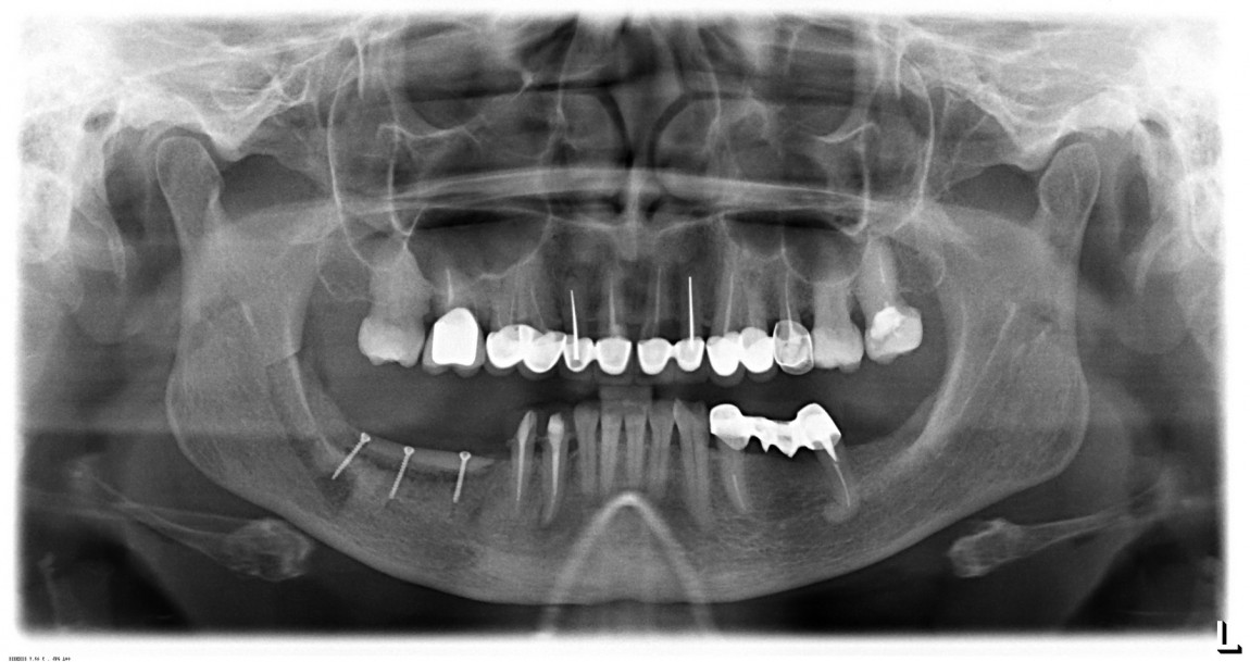
Метод аутотрансплантации костных блоков - насколько он результативен в долгосрочной перспективе? Я покажу тебе результаты остеопластики через 12 лет после операции, а выводы ты сделаешь самостоятельно.
О наращивании костной ткани одновременно с имплантацией, о пациентах издалека, о рекорде временных коронок, о вангах и стоматологических пабликах - в сегодняшней публикации.
Метка: мои работы
19
Ноя2024
ВРЕМЯ ПОКАЖЕТ! Ранее мы много писали о правильном протезировании при полном отсутствии зубов, но... что значит "правильно"? В моём понимании - это когда пациент на 6 лет остается без присмотра, но не теряет качества жизни и не имеет проблем ни с протезами, ни с имплантатами. Об этом Иван Алгазин рассказывает ... Читать дальше
19.11.2024Станислав Васильев
10
Июл2023
Когда можно оценить результат остеопластической операции? И что вообще можно считать её результатом? Мы представляем вашему вниманию историю нашей пациентки - и на её примере ответим на вышеуказанные вопросы. Кстати, а как это согласуется с тем, что мы писали о наращивании костной ткани раньше?
10.07.2023Станислав Васильев
03
Сен2021
Сегодня в рубрике "Сделано в CLINIC IN" я расскажу о работе, повторения которой мы всеми силами хотели бы избежать. Будучи здравомыслящими людьми, мы прекрасно понимаем, что в полученном результате велика роль удачи. С другой стороны, этот клинический случай заслуживает вашего внимания, поскольку наглядно демонстрирует сразу несколько интересных хирургических методик, применяемых ... Читать дальше
03.09.2021Станислав Васильев
10
Мар2021
Что такое "успешный результат имплантологического лечения"? Вопреки мнению многих, это не установленный и интегрированный имплантат, не зафиксированная на него коронка... В нашем понимании "успешный результат" - это восстановленное раз и навсегда качество жизни пациента, бессрочная эстетическая и функциональная реабилитация. 10 лет - это отличный срок, чтобы оценить результат.
10.03.2021Станислав Васильев
17
Окт2015
Но иногда природа-злодейка отчебучит чего-нибудь такого, а ты потом ломаешь голову над тем, как с этим справиться. Причем, не просто справиться, а сделать это аккуратно, с расчетом на будущую имплантацию.
17.10.2015Станислав Васильев
11
Июн2015
Примерно полтора года назад к нам в клинику обратилась молодая и красивая девушка. Все бы ничего, ничто ее не беспокоило, но вот однажды пошла она лечить зубки, и ей сделали панорамный снимок. Сделали панорамный снимок - забегали, заохали, послали на компьютерную томографию.
11.06.2015Станислав Васильев
31
Май2015
Lрузья, давайте сегодня поговорим об одной весьма интересной методике "наращивания костной ткани" - расщеплении альвеолярного гребня
31.05.2015Станислав Васильев
10
Фев2015
Разрез, его форма и размер - это всегда компромисс между нормальным обзором операционной области и бактериальной обсемененностью раны и травматичностью операции для пациента.
10.02.2015Станислав Васильев
10
Янв2015
Поговорим о том, чем заканчивается операция немедленной имплантации.
10.01.2015Станислав Васильев
19
Дек2014
Cегодня я хотел бы показать вам одну работу, которую я начал более года назад. А заодно рассказать о ее нюансах. Вы знаете, что секретов у меня нет, поэтому буду рад вашим вопросам и ремаркам в комментариях
19.12.2014Станислав Васильев
31
Окт2014
В современной стоматологии и имплантологии возможно всё. Другой вопрос - сколько это займет времени и сколько ресурсов потребует.
31.10.2014Станислав Васильев
15
Авг2014
Некоторое время назад я весьма скептически относился к необходимости консервации лунок после удаления зубов для сохранения объема окружающих тканей.
15.08.2014Станислав Васильев
16
Июл2014
Cовременными методами остеопластических операций мы можем воссоздать ЛЮБОЙ объем костной ткани в ЛЮБОМ месте зубного ряда. Нюанс лишь в методе операции и сроке, необходимом для нормального восстановления кости.
16.07.2014Станислав Васильев
09
Июл2014
Предлагаю рассмотреть остеопластическую методику - восстановление объемов костной ткани с использованием аутокостной стружки, биоматериалов и барьерных мембран.
09.07.2014Станислав Васильев
13
Июн2014
Вопросы: "Какой метод остеопластики выбрать?" или "Какие импланты лучше?" я бы заменил на "Какая схема и методика лечения подойдет данному пациенту?"
13.06.2014Станислав Васильев
10
Июн2014
Существуют законы природы, которые невозможно нарушить. Если доктор знает эти законы и следует им - лечение идет успешно. Любые попытки их обойти или переиначить, обречены на провал.
10.06.2014Станислав Васильев
15
Фев2014
Сегодня: имплантация и синуслифтинг в области 26 зуба. Вся операция от разреза до последнего шва заняла 25 минут.
15.02.2014Станислав Васильев
10
Янв2014
Всегда выбирайте не импланты, а имплантолога! Поскольку от марки имплантов зависит очень немногое.
10.01.2014Станислав Васильев
14
Ноя2013
В настоящий момент производители выпускают линейки имплантов, предназначенных для установки в лунку только что удаленного зуба. Они отличаются крупной агрессивной резьбой, назначение которой – обеспечить качественную стабилизацию импланта в условиях лунки только что удаленного зуба.
14.11.2013Станислав Васильев
11
Сен2013
Каждый из нас по миллиону раз наступал на "рекламные грабли", но, тем не менее, продолжает верить рекламе. Даже если она противоречит логике и здравому смыслу. Даже если она отдает заманухой и дезинформацией. "Быстро, недорого, качественно" - три слова, которые отключают мозги большинству людей.
11.09.2013Станислав Васильев
13
Авг2013
... так сказала пациентка, когда мы делали ей фотографию. На протяжение всего лечения, как до операции, так и после , ее врачи были настроены крайне скептически. Никто не верил, что в данном случае немедленная имплантация возможна и,что с ее помощью, достижим приемлемый результат.
13.08.2013Станислав Васильев
13
Июн2013
7 июня в конгресс-холле отеля Lotte прошла небольшая закрытая конференция по программе клинических исследований Mucograft, организованная компанией Geistlich и ее российским партнером, группой компаний "Симко".
13.06.2013Станислав Васильев
22
Фев2013
Обсудим отдаленные результаты имплантологического лечения и понять, что мы от этих самых имплантов ожидаем.
22.02.2013Станислав Васильев
























