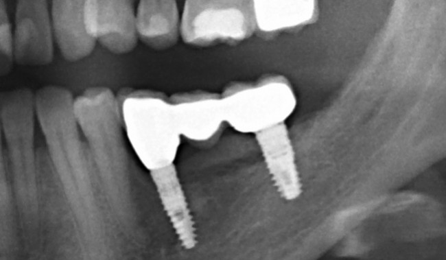
Остеопластические операции: факторы успеха