Немедленная имплантация: от старта до финиша. Или как получить качественный результат лечения с минимальными усилиями
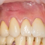
Найдите семь отличий между фотографиями:
А отличия, кстати, весьма и весьма существенные. Между фотографиями — почти год разницы, большая-большая работа с ортопедом Ахинян Давидом.
Что это за отличия, откуда они взялись и как появились — читайте ниже.
Итак, дано:
Пациентка, чуть старше 50 лет. Некоторое время назад заболел клык, который долгое время находился под коронкой, развился периостит («флюс»). При периостотомии (так называется дренажный разрез для лечения «флюса»), я сумел разглядеть продольную трещину корня, которая не определялась на сделанной ранее томограмме.
К сожалению, в современной стоматологии отсутствуют внятные методики, для лечения подобных проблем. Зуб приходится удалять. Совместно с пациенткой мы принимаем решение об удалении зуба и одномоментной установке импланта в лунку — немедленной имплантации.
Вообще, про данную методику я уже много рассказывал. На сегодняшний момент — это основной тренд имплантологии и стоматологической реабилитации, поскольку она позволяет получить нужный результат быстро, с минимальными временными и материальными затратами. В нашей клинике немедленная имплантация, в том числе, в сочетании с остеопластикой, синуслифтингом и т. д. занимает, больше 40% от общего объема имплантологического лечения.
Подробнее о методике и ее возможностях можно почитать здесь>>.
Исходная ситуация до начала лечения:
На клыком хорошо заметен рубец от проведенной две недели назад периостотомии. Зуб под коронкой.
Условия задачи
Задачу перед нами ставит пациентка, поэтому при планировании работы учитываются, прежде всего, ее пожелания. А не эротические фантазии доктора.
В данном случае от нас требовалось воссоздать конкретный зуб. Эстетическая составляющая, по мнению пациентки, не является приоритетной, но все же хотелось бы, чтобы зуб был похож на настоящий.
Пациентка, в случае необходимости, готова какое-то время походить и без зуба, однако мы всё равно планируем немедленную нагрузку. Просто хочется сделать человеку приятное.
Решение
Всё начинается с анестезии и разреза десны. Разрез весьма специфический — по переднему краю межзубных сосочков. Это необходимо для того, чтобы эти самые межзубные сосочки сохранить:
Обычно на лекциях и семинарах показывают широко отслоенную десну, в пределах нескольких зубов. На самом деле, чем меньше разрез — тем лучше: ниже травматичность и обсемененность операционного поля микробами. Конечно, размер разреза должен быть не в ущерб нормальному обзору области вмешательства. Другими словами, разрез — это всегда компромисс. Между нормальным обзором и травматичностью.
Осторожно отслаивается слизистая оболочка от альвеолярного гребня. Как я уже отметил выше — ровно до необходимого:
Отлично видно край коронки. Теперь ее можно снять:
Вот на этой фотографии хорошо видна трещина, из-за которой зуб приходится удалять.
Следующий шаг — удаление клыка.
Наверное, это самый сложный этап всей операции:
Поэтому у нас всегда должен быть план Б: удалить зуб, консервировать лунку и подготовить область удаленного зуба к отсроченной имплантации. Иногда приходится так поступать, хотя подобные ситуации — редкость.
В лунку устанавливаем имплантат. В данном случае, XiVE. Длина импланта — 13 мм, диаметр 4.5 мм, подобраны, исходя из размера удаляемого зуба:
Белая штука спереди от импланта: местный препарат Neocones. Он содержит антибиотик Неомицин и анестетик Бензокаин, позволяет временно обезболить и «продезинфицировать» лунку, которая уже изначально инфицирована. Напомню, что две недели назад мы лечили периостит — гнойное воспаление поднадкостничного пространства.
На имплантат устанавливаем формирователь десны. В тот момент я думал, что ставим его временно, так как после операции в планах была коронка на имплантат:
Мы планируем восполнение отсутствующей передней стенки лунки с помощью биоматериалов, и именно для этого нужен формирователь десны. Чтобы в шахту импланта не натолкать лишнего.
Биоматериал Geistlich Bioss. В таком небольшом объеме его можно (хотя и не рекомендуется) использовать без аутокостной стружки, «вчистую»:
А вот дальше начинается самое интересное. Биоматериал должен быть закрыт и изолирован от внешней среды — это необходимое условие для успешной регенерации. У нас есть выбор:
- Использование аутотрансплантата в виде свободного слизистотканного или соединительнотканного лоскута. Плюсы: работает, как ничто другое. Минусы — существенно увеличивает стоимость операции, повышает ее травматичность — необходим донорский участок на небе или в области бугра верхней челюсти.
- Использование барьерной мембраны типа BioGide. Плюсы — не увеличивает травматичность операции, не усложняет ее. Минусы — любые барьерные мембраны сильно чувствительны к инфицированию извне, а герметичность раны вследствие особенностей операции мы обеспечить не в состоянии. Разве что, применением свободного слизистотканного лоскута, но тогда смысл… В общем, барьерная мембрана — не выход в данной ситуации.
- Сильно стянуть края раны. Плюсы — очень просто. Минусы — излишне сильное натяжение краев раны приводит к деградации прикрепленной слизистой оболочки и усиливает атрофические процессы в подлежащей костной ткани. Результат — полная потеря эстетического результата. Нельзя так.
Что делать-то? Есть еще один вариант. Это коллагеновая матрица. В данном случае Mucograft Seal. Почему Seal? Просто потому, что большой фрагмент матрицы нам не нужен, да и стоит он дорого (а наша пациентка — не самый богатый человек на планете). А Seal стоит недорого, при этом, это всё тот же Mucograft. Его размер (8 мм в диаметре) позволяет нам решить проблему с недостатком слизистой.
Прим. Компания Geistlich не одобряет подобную тактику, так как, с ее точки зрения,
Mucograft Seal имеет иное назначение.
Итак, накладывается Mucograft Seal. Также успешно можно использовать любую коллагеновую матрицу любого размера:
Он подшивается узловыми швами. Операция закончена. Вид послеоперационной раны:
или вот:
У меня не было полной уверенности в том, что всё пойдет нормально, поэтому мы решили повременить с установкой коронки на имплантат до полного заживления раны, а это, примерно, несколько недель. Пациентка не против.
Важно знать, что любые формирователи и коронки, зафиксированные на только что установленные импланты, сильно ограничивают наши дальнейшие маневры с десной, если таковые потребуются. Вот про это нельзя забывать, и, если нет полной уверенности в том, что со слизистой оболочкой ничего не произойдет, лучше воздержаться хотя бы от коронок.
Пациентка получает обычные рекомендации после операции имплантации, ей назначается послеоперационная лекарственная терапия.
На следующий день послеоперационная рана выглядит следующим образом:
или вот так:
Другими словами, всё в порядке.
Швы мы сняли через 10 дней, а через две недели послеоперационная рана выглядит следующим образом:
Да, с гигиеной есть небольшая проблема, на формирователе зубной налет. Но это потому, что я сказал пациентке ничего не трогать — и она строго выполняла все рекомендации. Я поменял формирователь на новый, проверил эпителизацию краев раны, после чего направил пациентку к своему коллеге и другу Ахинян Давиду.
Он фиксирует на имплантат временную коронку:
Она изготавливается из композитной пластмассы на абатменте XiVE TempBase, который, кстати, входит в комплект поставки вместе с имплантом. Согласитесь, это очень удобно.
Коронка фиксируется винтом. Мы оставляем ее до момента интеграции импланта (несколько месяцев), плюс еще немного времени.
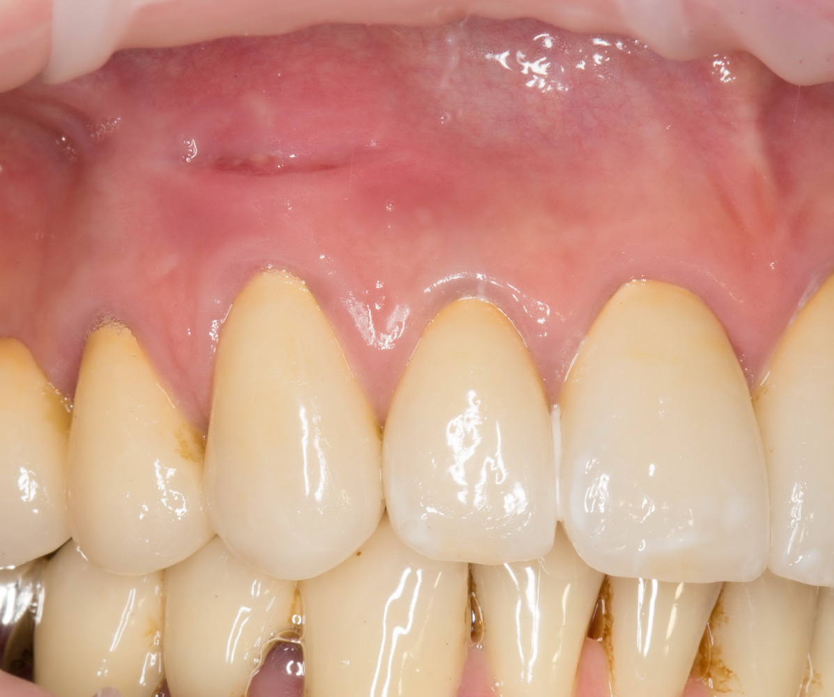
Через 3 месяца- внешний вид искусственного зуба:
Обратите внимание на состояние десны. Проведенные после установки импланта манипуляции позволили не только ее сохранить, но и увеличили объем. Формирование адекватных контуров и объемов слизистой оболочки, особенно в эстетически значимой зоне — еще одно назначение временных коронок на импланты. Все же, формирователи — штука стандартная, в то время как контуры десны как у разных людей, так и у разных зубов, свои — и под каждый зуб десну нужно готовить индивидуально.
Именно поэтому временное протезирование — важный этап всего лечения, который не рекомендуется пропускать. За редким-редким исключением.
Через несколько месяцев Давид меняет временную коронку на постоянную. В данном случае, металлокерамическую. И записывает пациентку ко мне на профосмотр через полгода.
Ответ
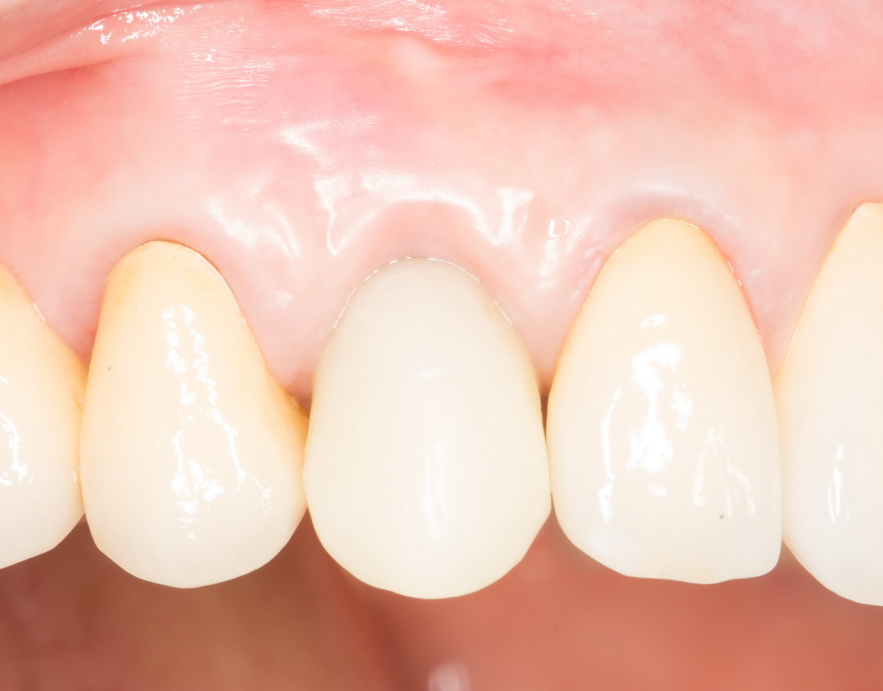
Итак, прошло, примерно, 6 месяцев после имплантации. На имплант клыка установлена постоянная металлокерамическая коронка. Вот она:
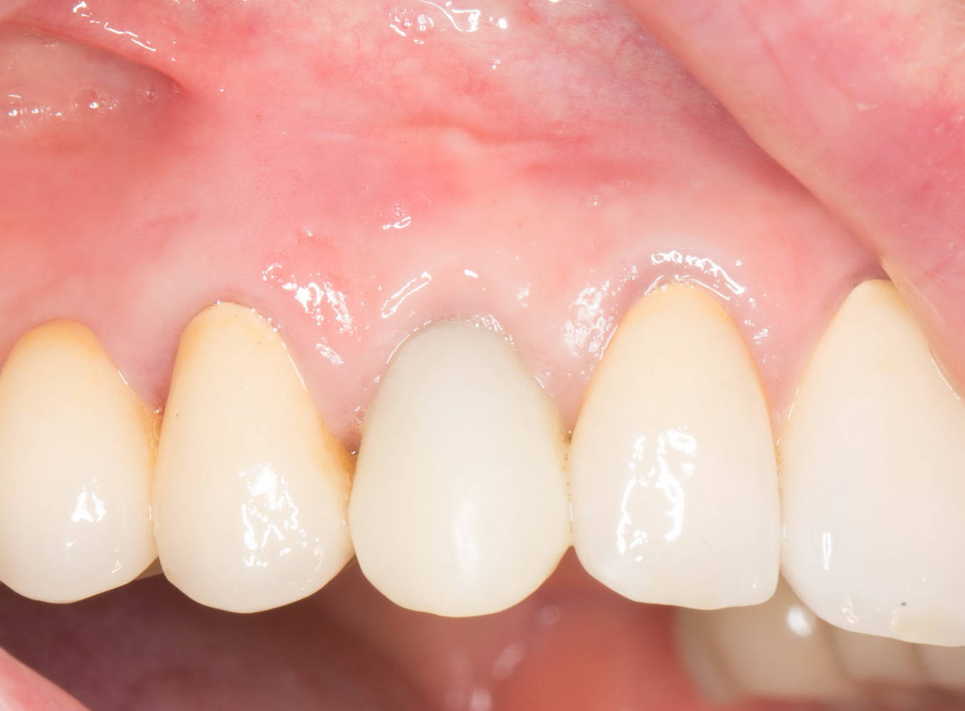
Или вот — так любят демонстрировать свои работы врачи-ортопеды:
Есть разница? Сейчас этот зуб выглядит лучше, чем окружающие.
По-моему, очень круто получилось. Давиду респект. Пациентке тоже.
Собственно, резюмируя данную работу, я хотел бы обратить ваше внимание на три пункта:
- Главный человек во всем процессе лечения — пациент. Вокруг него вертится Вселенная. Точнее, вокруг его пожеланий — именно от них зависит план лечения и ход всей работы. Если совсем упростить — пациент использует знания, опыт и руки доктора, чтобы получить желаемый результат. Задача врача — добиться этого результата с минимальными побочными проблемами и максимальной предсказуемостью.
- Конечная цель имплантологической операции — это не наложение швов, не интеграция импланта, и даже не доведение пациента до протезирования. Оттого мне более непонятно, почему в профессиональные стоматологические сообщества периодически попадают кейсы, где последней фотографией является наложение швов. Чувак, ты что хотел этим кейсом показать, а? Как ты круто фиксируешь мембрану и накладываешь швы? Хорошо, показал. А что дальше? Фиг знает.
- В современной стоматологии и имплантологии возможно всё. Другой вопрос — сколько это займет времени и сколько ресурсов потребует? И вот здесь нужно понимать, что не бывает бесплатного сыра, кроме как в мышеловке.
Особенно, качественного сыра.
Особенно, в условиях экономических санкций/антисанкций.
Хотя… бывает всякое)
Спасибо, что дочитали до конца.
С уважением. Станислав Васильев.



































Комментарии
Пока нет комментариев.