Консультация
Консультации является такой же важной и неотъемлемой частью лечебного процесса, как, например, хирургическая операция или послеоперационный реабилитационный период. Поэтому не нужно их недооценивать.
1. Запись на консультацию, хирургическую манипуляцию,
послеоперационный или плановый осмотр
К сожалению, у меня нет возможности вести расписание самостоятельно и круглосуточно отвечать на звонки, поэтому планированием консультаций, операций и осмотров управляет администратор. Поэтому, если вы планируете записаться на консультацию или хирургическое вмешательство, то лучше всего созвониться с администратором клиники.
Иногда расписание бывает перегружено (особенно это касается субботы), поэтому, если вы хотите выбрать удобное для вас время, лучше записываться заранее. Как минимум, за неделю-две вперед.
Если же вдруг возникли сложности в общении с администратором, либо по каким-то причинам вы не можете долго ждать встречи — можно позвонить мне на мобильный телефон. Желательно в рабочее время, чтобы расписание было под рукой. Я постараюсь найти возможность принять вас в удобное для вас время. Единственная просьба — не злоупотреблять, ибо это несправедливо по отношению к другим пациентам, которым приходится ждать консультации неделю или больше.
В экстренных случаях (острая боль, воспаление, травма и т. д.) также лучше связаться напрямую со мной. Такие ситуации требуют срочной медицинской помощи, поэтому я постараюсь принять вас в самое ближайшее время. Даже если для этого придется задержаться на работе или открыть клинику в нерабочее время.
К сожалению, запись на консультацию через электронную почту, социальные сети и мессенджеры невозможна. Прошу отнестись к этому с пониманием.
2. Время, необходимое на консультацию или первичный прием
В среднем, консультация занимает 30-45 минут, иногда больше. Если сразу после консультации планируется какое-нибудь лечение (например, удаление зуба или доброкачественной опухоли) время первичного приема должно быть, минимум, 45 минут. Обычно этого более, чем хватает даже для удаления самых сложных зубов мудрости.
Пожалуйста, при планировании встречи с администратором указывайте повод визита и планируете ли вы проводить какие-то манипуляции в этот день.
3. Что необходимо подготовить к встрече?
Ничего. Заранее ничего готовить не нужно. Достаточно почистить зубы, сформулировать список вопросов, на которые вы хотели бы узнать ответы и приехать в клинику к назначенному времени.
Если у вас уже есть какая-то медицинская документация: снимки, диски с компьютерной томографией и другими цифровыми исследованиями, диагностические модели, выписки и т. п. — неплохо было бы захватить их с собой. Цифровые исследования можно заранее переслать на электронную почту staskins@old.implant-in.com.
На консультации мы можем сделать снимки (ортопантомограмма, «панорамный снимок» — пока только в Немецком Имплантологическом Центре), диагностические модели и т. д. Компьютерную томографию челюстно-лицевой области, необходимую для имплантологического лечения, можно провести диагностических центрах наших партнеров: 3D-lab, Picasso и т. д. Если у вас есть снимки из других диагностических центров или клиник — не проблема, я прекрасно разбираюсь во всех существующих программах компьютерных томографов.
ВАЖНОЕ ЗАМЕЧАНИЕ! Существует множество видов компьютерной томографии, с разным разрешением и зонами. Все же лучше, когда необходимый вид исследования выбирает врач индивидуально, исходя из существующей клинической картины и медицинской необходимости. Поэтому заранее делать снимки не нужно, поскольку вы просто можете сделать не то, что необходимо для диагностики в вашем клиническом случае. Лучше я дам вам направление с указанными параметрами исследования, и вы не потратите лишнее время и деньги для его переделки.
4. Как проходит консультация?
Вся моя работа строится на доверии и честности. Мне нечего от вас скрывать, я предельно открыт и честен, поэтому рассчитываю на такое же отношение к себе. Я предполагаю, что мы с вами находимся на одной стороне и объединены общей целью, поэтому чем больше вы мне расскажете о том, что вас беспокоит, чем больше зададите вопросов и чем более дотошно будете вникать в процесс лечения и диагностики — тем лучше для вас и для меня. В ходе нашей беседы я буду задавать вам наводящие вопросы, которые помогли бы мне прояснить текущую клиническую ситуацию, понять ваши пожелания, поставить диагноз и сформулировать план необходимой диагностики и лечения.
Очень прошу вас не стесняться задавать даже глупые, на ваш взгляд, вопросы. Предполагаю, что вы не являетесь специалистом в области дентальной имплантологии или хирургии полости рта, поэтому глупых вопросов, как я думаю, у вас просто не может быть.
Также я исхожу из тезиса, что все состояния, заболевания и проблемы со здоровьем имеют причины, пусть не всегда очевидные. И что все на свете имеет объяснение, понятное даже даже ребенку. Поэтому задавайте как можно больше вопросов, уточняйте, переспрашивайте. Для меня принципиально важно, чтобы вы поняли, что происходит с вашими зубами, что с ними делать и к чему приведет бездействие. У меня нет никаких секретов и тайн, все предельно просто и понятно.
Первая консультация ставит перед собой четыре задачи:
Задача 1. Изучение текущей клинической ситуации.
С этой целью мы осматриваем полость рта, при необходимости делаем снимки и фотографии. И, если в ортодонтии и эстетической стоматологии фотографирование является обязательным этапом диагностики,
..то в хирургии я делаю фотографии по необходимости. Например для того, чтобы акцентировать внимание пациента на особенностях его клинической ситуации (на фото справа — выраженная атрофия костной ткани в области премоляров — прямое показание к остеопластике):
Согласитесь, одно дело, когда доктор где-то там видит кариес, который лично вы никогда не видели, и совершенно другое, когда наглядно показывает его на снимке. Ну и, к тому же, фотография — это способ зафиксировать исходную клиническую ситуацию и возможность отслеживать ее изменение в последующем. Да и вообще, фотографирование своих работ и этапов лечения — признак того, что доктор очень серьезно подходит к своему делу. А для меня фотографии являются еще и мотивационным фактором — всегда хочется сделать лучше, чем прежде.
В хирургии, и особенно в дентальной имплантологии рентгенологическое обследование является очень-очень важной частью подготовки к хирургическому вмешательству и контроля его результата. Мы активно используем три метода XRAY-диагностики:
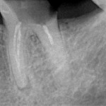
Прицельный радиовизиографический снимок можно сделать в любой из наших клиник. В отличие от обычных прицельных рентгенограмм зубов, доза лучевой нагрузки при проведении подобного исследования в несколько раз ниже, поэтому таких снимков можно сделать очень много. Например, по существующим стандартам, терапевт стоматолог может сделать до десяти снимком зуба в процессе эндодонтического лечения — и это, разумеется, необходимо для качественного лечения каналов зубов.
В хирургической практике я использую прицельные снимки как для первичной диагностики: например, чтобы быстро понять локализацию ретинированного зуба мудрости и его отношение к окружающим структурам, либо для интра- и послеоперационного контроля результатов имплантологического лечения. А наличие цифровой базы радиовизиографических снимков позволяет понять, как ведет себя протез на импланте в течение длительного времени:
Важным диагностическим исследованием является ортопантомограмма или «панорамный снимок»:
Назначение ортопантомографии точно такое же, как и у прицельных снимков. Но более масштабное, ибо позволяет увидеть всю зубочелюстную систему целиком. Современные снимки делаются на цифровом оборудовании, и это также позволяет существенно снизить лучевую нагрузку на пациента. Для сравнения: чтобы получить хотя бы половину допустимой годовой лучевой нагрузки, нужно делать ортопантомограмму каждый день в течение месяца. То есть, около тридцати снимков за полгода. Понятное дело, никто такого количества снимков не делает.
ВАЖНОЕ ЗАМЕЧАНИЕ! Несмотря на всю прелесть и, казалось бы, наглядность ортопантомографии, ее НЕЛЬЗЯ использовать для планирования имплантации или сложного хирургического лечения (остеопластики, синуслифтинга и т. д.). Дело в том, что данный снимок сильно искажает расстояния и отношения между различными анатомическими структурами, а также не дает представления о целом ряде важных для хирургии параметров. Подробнее об ортопантомографии можно почитать тут.
Наиболее важным исследованием для имплантологии и хирургии является компьютерная томография. Именно с помощью нее мы досконально изучаем костную ткань в области операции, определяем ее конфигурацию и структуру, планируем размер и положение импланта в челюстной кости:
Конечно, существуют доктора, которые игнорируют важность компьютерной томографии для имплантации, но нужно помнить, что в этом случае очень высока вероятность ошибки. А в такой сфере как хирургия, ошибки не очень желательны, верно?
Я работаю со всеми существующими программами дентальных томографов. Изучение снимка, его описание и все измерения всегда провожу самостоятельно. Идеальный вариант — изначальный снимок на диске, без распечаток, измерений и описаний.
Если же компьютерную томографию вы еще не делали, я дам вам направление на первой консультации.
Во время диагностики мы нередко делаем слепки и диагностические модели, устраиваем консилиумы с привлечением всех необходимых специалистов. В наших клиниках нет врачей-универсалов, поскольку каждый занимается только своим делом и своей специальностью, достигая в ней определенных высот. И, конечно же, мои ортопеды или ортодонты разбираются в протезировании или патологии прикуса лучше меня — так давайте я позову их и они вам все расскажут! Две думающие головы всегда лучше, чем одна, верно?
По диагностическим моделям и функциональной диагностике можно изготовить восковую модель будущей протетической конструкции. Нередко по ней определяется тактика предстоящего лечения, изготавливаются хирургические шаблоны, временные протезы и т. д. Необходимость создания восковой модели определяет врач-стоматолог-ортопед совместно с хирургом.
Такое всестороннее изучение клинических ситуаций дает нам возможность не только правильно и рационально планировать предстоящее лечение, но и с высокой степенью точности прогнозировать его результаты. Мой главный тезис относительно диагностики и планирования звучит как:
ЧЕМ БОЛЬШЕ ВРЕМЕНИ ВЫ ПОТРАТИТЕ НА ДИАГНОСТИКУ И ПЛАНИРОВАНИЕ,
ТЕМ ДЕШЕВЛЕ И БЫСТРЕЕ БУДЕТ САМ ЛЕЧЕБНЫЙ ПРОЦЕСС.
Ведь чаще всего план лечения и его стоимость меняются в большую сторону именно из-за неполноценного обследования. Пациентов это жутко раздражает, а мне стыдно, если такое происходит.
Задача 2. Подробное информирование о ней пациента.
После того, как мы соберем максимальную информацию о вашем клиническом случае, я подробно расскажу вам о том, что происходит в вашей полости рта. Для меня принципиально важно, чтобы вы понимали, откуда и почему возникают различные проблемы с зубами, поэтому не стесняйтесь спрашивать и уточнять. Я исхожу из мысли, что всему на свете есть причина и объяснение. Причем, объяснение, понятно даже человеку, не умеющему читать и писать.
Любую патологию в полости рта можно показать наглядно и очевидно для вас. Не существует «невидимых» проблем, все они заметны либо визуально, либо функционально. Я покажу вам это. А так как речь идет о вашем здоровье, я рекомендую вникать и попытаться понять, что с вами происходит. И к чему приведет бездействие.
Я не понимаю врачей, которые пугают своих пациентов. Современная стоматология стала гораздо дружелюбнее и эффективнее, чем во времена моей учебы в университете, гораздо лучше изучены причины и механизмы возникновения тех или иных заболеваний в полости рта. Так что бояться вам совершенно нечего. Наоборот, вы уже сделали серьезный шаг, когда пришли на консультацию и выслушали доктора. Осталось сделать еще один — исправить ситуацию в полости рта.
Задача 3. Обсуждение и формирование плана диагностики и лечения.
У всех пациентов разные возможности и разные пожелания. Поэтому даже в схожих клинических случаях у двух разных пациентов может предполагаться разный подход. Каким он будет — определяют сами пациенты. Очень простой пример: требования по эстетике будут разные у 20-летней фотомодели и 75-летнего пенсионера? Следовательно, у них будет разным объем работы и ее стоимость.
Изучая клиническую ситуацию и проводя диагностику, мы с вами определяем отправную точку А. Теперь, исходя из ваших пожеланий, предложений и приоритетов, я определяю конечную точку Б. И нам остается только совместно выбрать путь и транспорт, на котором мы поедем из пункта А в пункт Б. И здесь я должен заметить, что выбор, как преодолеть этот путь, есть всегда.
Вы уже поняли, что происходит у вас во рту, наглядно увидели все проблемные места и, я надеюсь, убедились в необходимости лечения. Теперь вы должны понять, каким образом это лечение будет проводиться, сколько времени оно займет и к чему оно приведет.
Обычно комплексное стоматологическое лечение состоит из нескольких этапов и сильно растянуто во времени. Наша задача — определить объем работы в каждом этапе, а также их последовательность. Во многом, это открытый вопрос, каких-то строгих правил тут нет. Одно и то же лечение можно сделать за несколько месяцев, а можно растянуть на годы.
Важно знать, что не существует каких-то волшебных и необъяснимых методов лечения. Все существующие способы имеют научно подтвержденную основу, доказанную эффективность и проверенные результаты. Поэтому, я еще раз акцентирую на этом внимание, не стесняйтесь спрашивать и интересоваться — никаких секретов от вас нет.
Наверное, многих волнует стоимость лечения, и большинство пациентов желает узнать ее на первой же консультации. Увы, это не всегда возможно, потому как нередко обследование, диагностика и составление этапного плана лечения занимает время, а сам прейскурант моих услуг сильно варьируется в зависимости от клинической ситуации, объема работы и уровня нашего с пациентом взаимодействия. Проще говоря, у хороших людей все стоит дешевле, чем у нехороших.))
Обычно я рассчитываю стоимость всех хирургических этапов (при краткосрочном лечении) при наличии полной клинической картины, включая необходимые обследования. Если же лечение сильно растянуто во времени, то возможно рассчитать цену только ближайших хирургических этапов.
Задача 4. Ответы на вопросы пациента.
В идеале, в ходе консультации вы должны получить ответы на все свои вопросы. У вас не должно остаться пробелов в понимании вашей клинической ситуации и предлагаемых методов лечения. И, на мой взгляд, чем подробнее и тщательнее вы изучите то, о чем вам говорит доктор — тем лучше и для доктора, и для вас. Запомните одно: ГЛУПЫХ ВОПРОСОВ ОТ ПАЦИЕНТОВ НЕ СУЩЕСТВУЕТ. И на каждый из ваших вопросов вы должны получить адекватный ответ.
Адекватный — значит, укладывающийся в вашу систему знаний и понятный вам.
В этом и состоит основная цель первой консультации.
5. Нужны ли повторные консультации и встречи?
Иногда да. В тех случаях, когда в ходе обследования выясняются новые данные о клинической ситуации, если у пациента остались вопросы относительно тактики и плана лечения.
Повторные консультации необходимы перед каждым этапом комплексного лечения, перед очередными хирургическими операциями, в случае возникновения каких-то проблем в послеоперационном периоде. В отличие от первичной консультации, все подобные встречи являются бесплатными.
С того момента, как человек начинает у меня лечиться, наши отношения переходят на качественно другой уровень. На мой взгляд, работа хирурга не ограничивается проведением вмешательства, и доктор несет ответственность за последующий послеоперационный период и исход хирургической операции. Вот поэтому для МОИХ пациентов я доступен 24 часа в сутки 7 дней в неделю 365 дней в году. Став моим пациентом, вы не только получаете качественное хирургическое лечение, но и уверенность в спокойном и безопасном послеоперационном периоде, постоянное наблюдение и контроль со стороны врача, доступ к нему почти 24 часа в сутки и запланированный результат на оговоренных ранее условиях.
Поэтому… просто выберите время, созвонитесь с администратором или со мной, запишитесь на консультацию в любое удобное для вас время. График работы публикуется в начале каждого месяца на этом сайте или в блоге, его изменения зависят от моей преподавательской деятельности, командировок и собственного обучения. Я буду очень рад вам помочь.
Спасибо за доверие.
С уважением, Станислав Васильев.
См. также: лечение и консультации иногородних и иностранных пациентов








Комментарии
Пока нет комментариев.