Остеопластические операции: факторы успеха. Часть V.
Уважаемые друзья, прежде, чем мы продолжим обсуждать факторы успеха остеопластических операций, я хотел бы сделать пару объявлений.
1. Благодаря последней записи «про базальную имплантацию и всё такое…» выяснилось, что мой сайт не справляется с сильно возросшей нагрузкой. Причем ни увеличение дискового пространства, ни наращивание оперативной памяти сервера не дает нужного эффекта. Уверен, вы заметили, как он стал тормозить в последнее время.
В связи с этим, я ищу человека, который помог бы мне оптимизировать и настроить сайт на нормальную работу. Об оплате, разумеется, договоримся.
2. Сейчас, совместно с моими партнерами, мы составляем график мероприятий (лекций и семинаров) на 2016 год. Уже точно могу сказать, что ближайший XiVEDAY состоится 29 января в Москве, а RegenerationDay — 18 января в Москве и 22 января в Ставрополе. Кроме того, по многочисленным просьбам мы решили повторить лекцию по гольфу по немедленной имплантации OneDrive.OneHole, она пройдет 3 апреля. Подробности — на соответствующих страницах сайта. Если у кого-то будут пожелания, предложения по данным мероприятиям — пишите на staskins@old.implant-in.com, я обязательно их учту.
Ну и, поздравляю Вас всех с наступившим Новым Годом! Пусть у всех нас он пройдет намного лучше, чем предыдуший. Хотя, и предыдущий год тоже был неплохим.
* * *
А теперь мы продолжаем разговор о факторах успеха остеопластических операций. В прошлых частях мы рассмотрели наиболее важные из них:
Рекомендую пройтись по ссылкам, чтобы быстро понять, что это вообще такое и для чего это нужно.
Сегодня же мы рассмотрим заключительный и наиболее простой для понимания
Фактор V. Отсутствие внешних воздействий.
Длительное отсутствие зубов очень часто сопровождается выраженной атрофией костной ткани. С разной степенью скорости, с разным изменением конфигурации, ее объемы уменьшаются. У атрофии есть множество причин: от изменений микрососудистого русла до постэкстракционных воспалительных явлений из-за одонтогенной инфекции или травматичного удаления зубов.
Если удаление происходит в эстетически значимой зоне и отсутствие зуба видно при улыбке, возникает разумное желание этот дефект как-то замаскировать. Немедленная имплантация с одномоментным протезированием, возможно, решила бы эти проблемы. Однако, она возможна далеко не всегда. Соседние зубы никто не будет обтачивать и закрывать коронками без веских на то показаний, а это значит, что мостовидный протез, пусть и временный, вряд ли подойдет.
В таких случаях пациенту нередко предлагается какая-то съемная протетическая конструкция (в народе называемая «бабочкой» или «жучком»), задача которой — замаскировать отсутствие зуба до его восстановления с помощью импланта:
И, я должен заметить, что с маскировкой такой простейший протез отлично справляется:
Все бы хорошо, но использование съемных протезов даже временных, даже в случаях, когда не предполагается дальнейшая имплантация, приводит к ряду нежелательных явлений:
Во-первых, это реально неудобно. Протез нужно периодически снимать и чистить (в идеале, после каждого приема пищи), его можно легко потерять или сломать. Даже небольшой протез в полости рта осязается как нечто огромное, он подвижен и, по сути, не функционален.
Во-вторых, опорой подобного съемного протеза служит слизистая оболочка альвеолярного гребня и пришеечные участки соседних зубов. Понятное дело, эти области вообще не способны воспринимать какую-либо нагрузку и воздействие на них ни к чему хорошему не приводит. Слизистая оболочка под протезом воспаляется, выделяющиеся при воспалении ферменты начинают разрушать костную ткань под ней. Как результат, мы получаем значительную убыль костной ткани в области альвеолярного гребня даже в случаях превентивной аугментации лунки.
Именно поэтому при ожидании имплантации (напомню, оптимальные сроки для отсроченной имплантации — 1.5-2 месяца после удаления) следует, по возможности, избегать использования даже небольших съемных протезов.
В боковом сегменте зубного ряда лучше просто оставить лунку заживать так, как есть:
и все нормально заживет. Через 1.5-2 месяца вы получите нормальные условия для имплантации:
При этом, к аугментации лунок в боковом отделе зубного ряда (т. е., к заполнению их каким-то биоматериалом в надежде уменьшить будущую атрофию костной ткани) нужно подходить очень и очень осторожно. Почему? Можно почитать здесь>>.
Дефект зубного ряда в эстетически значимой зоне просто так не оставишь. Некрасиво будет. Поэтому какая-то временная конструкция, все же, необходима. Но это должна быть несъемная конструкция.
Современные стоматологические материалы и технологии позволяют делать широкий спектр несъемных временных конструкций.
Это может быть просто композитная консоль, изготовленная прямым методом, прямо в клинике и сразу после удаления:
либо лабораторно изготовленный временный протез с опорой на соседние зубы:
Можно еще придумать какой-нибудь вариант, но самое главное:
— до и после имплантации, по возможности, следует избегать физического воздействия (нагрузки) на область хирургического вмешательства.
То же самое касается операций остеопластики. Внешнее воздействие на графт, пусть через слизистую оболочку, значительно ускоряет процессы его резорбции. Даже если съемный протез был изготовлен и установлен значительно позже самой операции. А это, в свою очередь, приведет к тому, что результат остеопластики если не будет недостижим, то точно сильно хуже планируемого.
Необходимость временного протезирования, особенно при значительных дефектах зубного ряда, делает нашу работу более сложной и дорогой. Иногда моим ортопедам приходится идти на всевозможные ухищрения, лишь бы оставить пациента с зубами на протяжение всего реабилитационного периода.
Вот пример, который мы реализовали с моим другом и коллегой, Ахинян Давидом.
К нам обратилась пациентка, молодая женщина. К сожалению, из-за прогрессирующего пародонтита, ей показано удаление всех зубов. Одномоментная установка имплантов в ее случае просто невозможна (требуются синуслифтинг и остеопластика во всех участках зубного ряда), съемное протезирование, даже временное, серьезно осложнило бы жизнь пациентке и поставило бы под угрозу результаты остеопластических операций.
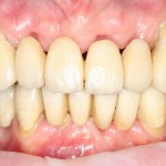
Поэтому мы с Давидом придумали следующее. Мы не стали удалять все зубы, оставили четыре клыка. Это самые большие зубы нашего организма, способные выдерживать значительную нагрузку. Эти четыре клыка Давид использовал как опору временного несъемного (!) протеза, состоящего из восьми (!) единиц на каждой челюсти:
на фотографии вы видите состояние этого протеза, примерно через полгода после начала лечения.
За год, пока этот протез держался, мы успели:
сделать операции синуслифтинга с двух сторон:
на фотографии, кстати, редкий случай многокамерной пазухи, с перегородкой посередине. В подобных ситуациях синуслифтинг, хоть и получается сложнее, но все равно осуществим.
сделать остеопластику там, где это требовалось:
расставить импланты, по шесть штук на каждую челюсть. Разумеется, не все сразу, а постепенно:
А потом еще расставить формирователи десны на установленные импланты:
Перед каждой операцией мы просто снимали протез с клыков, а потом ставили его на место. Представьте, насколько сложнее вся эта работа была бы с временным съемным протезом, сколько времени потребовала бы его коррекция после каждого из этапов, как бы отразилось давление протеза на результатах имплантации и остеопластики и, самое главное — как бы жила пациентка, женщина чуть старше сорока пяти, с этими самыми протезами? Да она у нас за год в бабушку превратилась бы!
Конечно, из-за огромной нагрузки клыки постепенно расшатались. Но мы планировали их удалить.
И удалили. Вместе с протезом. Через 15 минут после удаления Давид зафиксировал временный протез с опорой на импланты:
Уточню — это ВРЕМЕННЫЙ протез. При тотальном протезировании на имплантах, это почти необходимая вещь. Ибо заново настроить зубочелюстную систему, где вообще не осталось зубов, не так просто, как кажется. На это требуется время и ряд коррекций. К тому же, временный протез позволяет определить, как «работают» импланты под нагрузкой.
Таким образом, даже при таком сложном и длительном лечении, наша пациентка ни на день не оставалась без зубов и вообще не пользовалась съемными протезами. Нужно ли говорить, насколько это влияет на комфорт лечебного процесса и качество жизни?
Другими словами, друзья, не бойтесь использовать несъемные конструкции даже при значительных дефектах зубного ряда. Да, они сложнее, чем съемные протезы. Да, они иногда ломаются. Но ради достижения великой цели (качественного результата имплантологического лечения), это того стоит.
Заключение
Ну вот, закончился самый большой цикл статей, посвященный факторам успеха остеопластических операций. Я неоднократно говорил о том, почему их нужно знать — существует огромное количество всевозможных методик остеопластики, и, несмотря на значительную разницу между ними, все они работают по определенным правилам и закономерностям, для любой из них справедливы факторы, которые я разобрал в этой и предыдущих статьях.
Понимая их, вы не просто сможете успешно использовать любую из доступных методик остеопластики, но и, возможно, создать свою собственную, новую. Ведь, по сути, мы с вами говорили не о факторах успеха какой-то там операции, а о факторах, прямо влияющих на регенерацию костной ткани.
Перечитать все заново можно в разделе «Избранное» моего сайта.
Если у вас будут вопросы — я готов обсудить их в комментариях или на лекции RegenerationDay, которая, как я уже говорил, состоится уже 18 января в Москве.
Спасибо за внимание!
С уважением, Станислав Васильев.



























Комментарии
Пока нет комментариев.