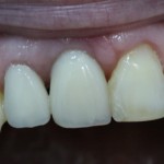
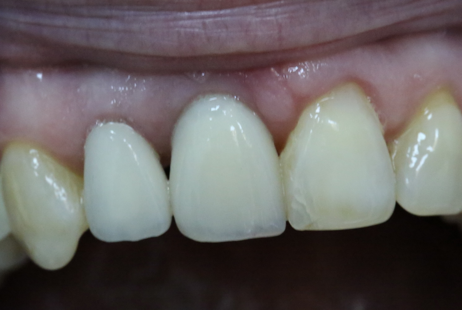
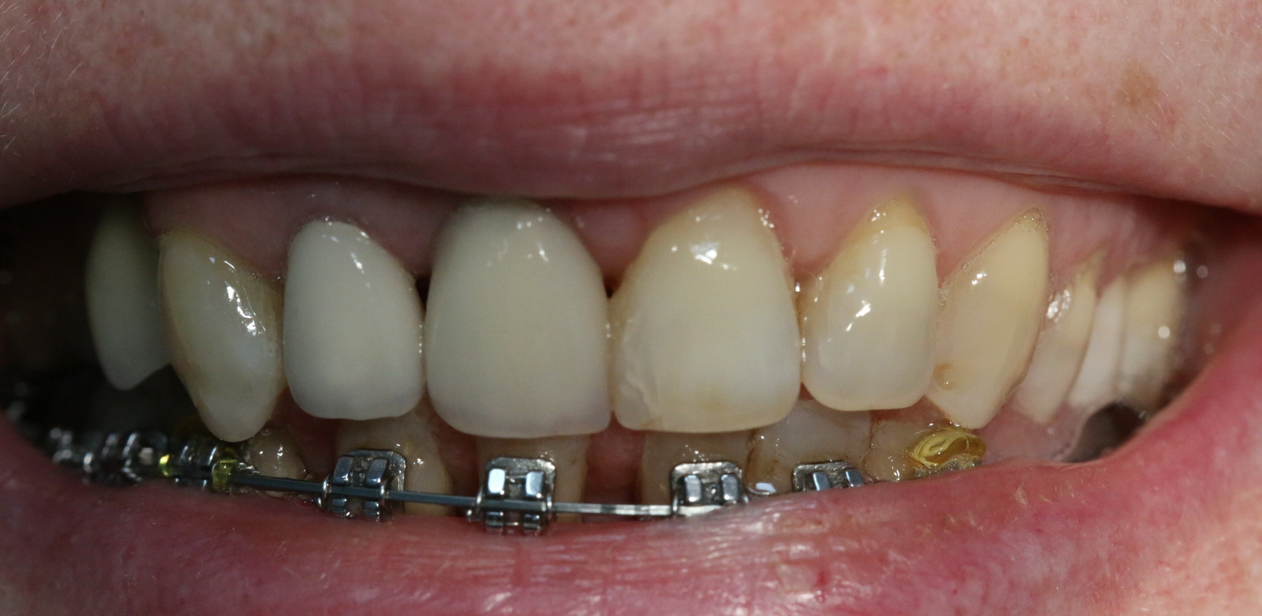
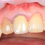
Немедленная имплантация — оптимальное решение в любой клинической ситуации