Честно говоря, до выхода статьи о бисфосфонатах на нашем сайте, мы и не подозревали, что тема стоматологического лечения на фоне антиостеопорозной терапии окажется настолько востребованной и актуальной. С момента публикации прошло два года, мы спокойно и уверенно занимаемся стоматологическим лечением пациентов, принимающих бисфосфонаты (в т. ч. имплантацией и костной пластикой), ... Читать дальше
Метка: ошибки и осложнения
31
Мар2024
Беззубый человек для имплантолога - это как престарелый миллиардер для эскортницы. Это возможность разом закрыть ипотеку, выплатить автокредит и погасить долг по алиментам. Во многом, именно этим объясняется широкое распространение методик "всё-на-четырех", "зубы-за-один-день" и другой сомнительной ерунды, сопровождаемой обязательной припиской "Имеются противопоказания! Проконсультируйтесь с врачом!". И здесь хорошо бы начать ... Читать дальше
31.03.2024Станислав Васильев
28
Дек2023
Пожалуй, нет больших спекуляций и большего вранья, чем то, что говорят и пишут о сроках службы имплантатов. "Пожизненная гарантия" - это распространенный рекламный слоган, которым клиника заманивает доверчивых граждан. Правда, потом вдруг выясняется, что она относится только к физической целостности самого имплантата. Причем, далеко не во всех случаях.
28.12.2023Станислав Васильев
25
Окт2023
Удивительно, что при обилии информации о зубах мудрости (даже на нашем скромном сайте), в интернетах категорически мало информации о затрудненном прорезывании зубов мудрости, т. н. "Перикоронарите" или "Перикороните". Мы не можем остаться в стороне от этой проблемы, поэтому сегодня расскажем тебе о нём всё, что знаем. И даже больше.
25.10.2023Станислав Васильев
23
Апр2023
Не то, чтобы я люблю возвращаться к ранее написанному, но иногда приходится это делать. Просто потому, что тема публикации требует расстановки акцентов. В публикации про восемь причин врачебных ошибок наибольшее количество стоматологических пуканов взорвалось на абзацах про наркоз - именно поэтому к ним стоит вернуться.
23.04.2023Станислав Васильев
04
Мар2023
"У хорошего врача хорошее кладбище" - это известная поговорка, от которой мои коллеги возмущенно фыркают. Звучит она, конечно, неприятно, но это правда. Все врачи делятся на две категории - те, кто уже серьезно накосячил и те, у кого все серьезные косяки еще впереди. Ибо не бывает врачей без кладбища. Намного ... Читать дальше
04.03.2023Станислав Васильев
30
Май2022
В какой-то момент мы, стоматологи, оказались в странной ситуации. С одной стороны, мы жутко обижаемся, когда врачи других специальностей не считают нас за коллег и подкалывают поговоркой "курица - не птица, стоматолог - не врач". С другой, мы сами сделали всё, чтобы нас таковыми считали - обособили себя от всей ... Читать дальше
30.05.2022Станислав Васильев
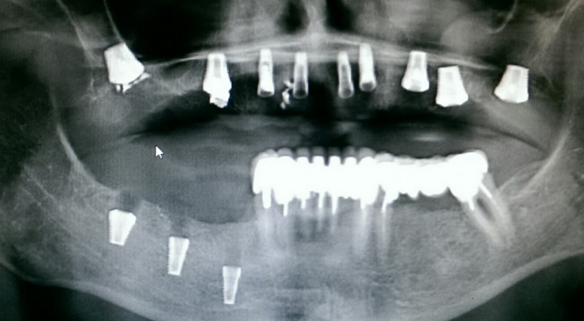
30
Мар2022
Периимплантит - это проблема, актуальность которой будет только расти по одной простой причине: чем больше имплантатов мы будем ставить, тем больше случаев периимплантита увидим. При таком раскладе лучший вариант - работать таким образом, чтобы свести к минимуму риски развития этого неприятного осложнения. Но даже если ты с ним столкнулся - ... Читать дальше
30.03.2022Станислав Васильев
08
Ноя2020
Наступили тяжёлые времена. Стоматологи постепенно распродают свои Мерсы и Бмв, пересаживаются на Киа и Хёндэ, вместо Мальдив и Тенерифе выбирают Геленджик и Крым, на смену немецким и швейцарским имплантатам приходят корейские и израильские, но биоматериалы... биоматериалы остаются - и для некоторых докторов это лучший способ пережить кризис.
08.11.2020Станислав Васильев
01
Июл2020
В прошлой статье я рассказал вам о причинах о причинах возникновения и развития перимплантита. Сегодня публикую вторую часть статьи, в которой предлагаю обсудить методы профилактики и лечения периимплантита
01.07.2020Станислав Васильев
09
Июн2020
В отличие от "отторжения", которое мы рассмотрели в прошлой статье, периимплантиты встречаются намного чаще. С счастью, они далеко не всегда приводят к утрате имплантатов и чаще обнаруживаются случайно при рентгенологическом обследовании...
09.06.2020Станислав Васильев
22
Май2020
Насколько надёжны зубные имплантаты? Изучая эту тему, вы, скорее всего, столкнётесь с двумя противоположными точками зрения. Первая будет утверждать, что надёжнее имплантатов нет ничего и гарантировать стопроцентный результат лечения. Вторая, более распространённая среди пациентов, выглядит более пессимистичной - якобы, больше половины установленных имплантатов отторгаются, а те, что не отторгаются - ... Читать дальше
22.05.2020Станислав Васильев
27
Июл2019
На той неделе мне позвонили из редакции "Экспресс-газеты" и попросили прокомментировать наиболее частые страхи и подозрения, о которых говорят люди, отправляясь на приём к стоматологу. Естественно, далеко не всё уместилось в газетную колонку, поэтому я решил перенести оригинальную статью сюда, без редакции и цензуры со стороны газетчиков.
27.07.2019Станислав Васильев
30
Мар2016
Перфорация (или повреждение) слизистой оболочки верхнечелюстной пазухи - наиболее частое осложнение при операции синуслифтинга. Но.... проблема, которую можно решить - уже не проблема. Верно?
30.03.2016Станислав Васильев
11
Окт2014
Цель имплантологического лечения - не воткнуть импланты так, чтобы они прижились, а создание надёжной и долговечной опоры под планируемую ортопедическую конструкцию.
11.10.2014Станислав Васильев














