Иногда приходится удалять импланты. Как быть и что делать дальше?
Уважаемые друзья! Хочу начать с благодарностей. Огромное спасибо всем вам за поздравления — такого количества писем и сообщений я никогда в жизни не получал. Всё это очень приятно.
А вот тема, которую я хочу с вами сегодня обсудить — не самая приятная. Тем не менее, все имплантологи с ней периодически сталкиваются.
Это необходимость удаления имплантов. Да-да, иногда их приходится удалять, вот что делать с этим дальше — ни пациентам, ни даже врачам не совсем понятно. Попробую внести ясность в этот вопрос.
* * *
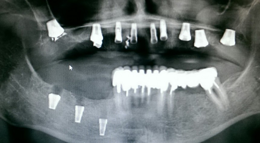
Существуют всего две причины, по которым импланты приходится удалять: периимплантит (или, более народно, «отторжение» импланта) и невозможность проведения качественного протезирования на установленном импланте (имплантах). Каждая из причин предполагает свой порядок действий, который мы рассмотрим ниже.
Однако прежде, чем мы приступим к изучению вопроса, я бы рекомендовал вам прочитать вот эту статью. Написал ее давно, но она не потеряла актуальности. Пока. Итак,
Периимплантит.
Мы можем столкнуться с двумя его формами: в краткосрочном периоде, от момента имплантации до момента протезирования, и в отдаленном периоде, после протезирования.
Последнее, на самом деле, проблема глобальная и комплексная, требует отдельной статьи.
Поговорим о первом.
Под словом «отторжение» подразумевают именно развитие периимплантита в краткосрочном периоде. Поставили имплантат, а он не прижился. Обычно данный процесс протекает с существенным дискомфортом и реально беспокоит пациента.
Периимплантит в отдаленном периоде развивается иначе — медленно и почти бессимптомно. Тактика работы с подобной проблемой такая же, как и с зубами в состоянии пародонтита (удаление/остеопластика/имплантация), поэтому рассматривать ее в рамках данной статьи мы не будем.
Но, в любом случае, развившийся периимплантит — не повод отказываться от имплантации. В большинстве случаев, это решаемая проблема.
Понять, всё ли в порядке с установленным имплантом, можно относительно быстро. Например, как в этой статье.
Болезненные ощущения после имплантации проходят, максимум, за неделю (в среднем, 3-4 дня), столько же держится отек.
Если имплантат установлен одномоментно с формирователем десны, то при перкуссии он безболезненный. Появление боли при надавливании на формирователь говорит о том, что импланту совсем плохо и он, с высокой степенью вероятности, не интегрируется. При этом, на рентгеновских снимках не будет никаких видимых изменений. Иногда даже сильной подвижности импланта нет.
Если имплантат полностью находится под десной, пациента может беспокоить отек слизистой, формирование свищей и неприятные ощущения в области операции. Если данные явления не проходят и после снятия швов — имеет смысл провести санацию раны, проверить, всё ли в порядке с имплантами (иногда бывает, что неприятные ощущения и образование свищей вызывает недозакрученная заглушка импланта — и это не повод удалять имплантат, можно просто поменять заглушку).
Еще одним симптомом развивающейся проблемы является появление излишней подвижности импланта. Конечно существуют имплантационные системы, которые не предполагают первичной стабильности (например, тот же Bicon или Ankylos), но если после одномоментной установки коронки или формирователя десны появилась подвижность, которой изначально не было, да еще и она болезненна — имплантат, стопроцентно, кандидат на удаление.
Чего делать нельзя?
Не паниковать! Да, случается. Но хороший врач отличается от плохого тем, что у него всегда есть план действий. Нет ничего хуже, чем доктор, который не знает, что делать дальше.
Не сваливать вину на пациента! Отторжение импланта в краткосрочном периоде — это почти всегда врачебная ошибка. Перекладывая вину за случившееся на пациента, вы лишаете его надежды на имплантологию, а себя — дальнейшей работы с этим пациентом.
Я знал одного деятеля, профессора, между прочим, который все свои неудачи валил на пациентов. Типа, у «вас организм неправильный, кость плохая, да и ваще, вам надо провериться». Нужно ли говорить, скольким пациентам он создал серьезные психические проблемы?
Не стоит пытаться как-то обработать имплантат или «закрепить» его на месте. Лазер, ультразвук, гамма-лучи — всё это бесполезно. Инфицированную поверхность импланта привести к стерильному состоянию in vivo, практически, невозможно. Несмотря на то, что про это написано стопицот диссертаций — это всего лишь теория, теория…
Не торопиться! Пару раз видел, как доктора ставят новые импланты в область только что удаленных по поводу отторжения. Берут побольше размер, «штоб держался». С закономерным финалом. И разочарованием. Имплантат отторгается из-за воспаления окружающей его костной ткани — и в эту же костную ткань некоторые пытаются поставить еще один имплант. Логика? Потеряете второй — и будет совсем неприятно и стыдно.
Не нужно проводить аугментацию или «наращивание костной ткани» в области отторгнувшегося импланта. По той же причине: воспаленная костная ткань не способна к нормальной регенерации.
Что нужно сделать?
Во-первых, нужно отдышаться и подумать. Понять, почему это произошло. Если была ошибка, нужно проанализировать ее, чтобы не допустить вновь.
Во-вторых, поговорить с пациентом. Объяснить случившееся, честно и без утайки. Ведь пациент также, как и вы заинтересован в результате. И пугает пациента не столько отторжение, сколько безысходность. А ведь, по-сути, никакой безысходности нет. Есть увеличение сроков лечения. Еще одна операция имплантации. Это всяко лучше, чем бесперспективняк. Многие боятся, что пациент потребует обратно деньги и уйдет к другому доктору. Так вот, если врач не хочет признавать свою ошибку — он будет не в состоянии ее исправить. Как такому врачу вообще можно доверять? Разумеется, пациенты уходят.
В-третьих, если вы уверены, что имплантат нужно удалить — сделайте это как можно раньше. Если развился периимплантит — ждать не имеет смысла. Имплант стопудово не интегрируется. А смысла ждать осложнений в виде потери костной ткани нет. В зависимости от локализации, отторжение имплантов нередко сопровождается потерей объемов костной ткани и слизистой оболочки. Если это происходит — проводится операция остеопластики и/или пластики мягких тканей. Лично мое мнение — пациент не должен дополнительно оплачивать работу, необходимость которой возникла из-за ошибки. Кто-то, правда, может считать иначе.
В общих чертах, план действий врача при отторжении импланта выглядит так:
- удаление импланта — перерыв на 1-2 месяца (больше ждать не нужно, ибо атрофия костной ткани)
- реимплантация, иногда совместно с остеопластикой. Или остеопластика отдельным этапом (при необходимости).
Пара слов о самих имплантах.
От представителей фирм по продаже имплантов нередко можно слышать, что, мол «наши импланты интегрируются лучше других и т. п.». Это, друзья, хрень. Все импланты интегрируются нормально. Просто с одними больше проблем, с другими меньше. В этом разница между дешевыми и дорогими имплантами.
Невозможность нормального протезирования на интегрированных имплантах.
Случается чаще, чем можно представить. В основном, из-за убеждения ряда моих коллег в том, что конечная цель имплантологического лечения — это интегрированные импланты, а не протезирование на этих самых имплантах. Итог — ну вот, всё прижилось, пациент приходит к ортопеду, а тот разводит руками — типа, ничего не могу сделать. С одной стороны, ортопеда можно понять — на кривом фундаменте хороший дом не построишь. С другой стороны, некоторые имплантологи считают, что ортопеды просто неженки и лентяи, которым только подавай идеальные случаи. Особенно в создании данной проблемы отличаются некоторые челюстно-лицевые хирурги, не имеющие стоматологического образования:

То есть, хороший имплантолог мыслит больше как ортопед, а не как мясник челюстно-лицевой хирург.
Теоретически, у многих имплантационных систем существует возможность ортопедической компенсации неверно установленных имплантов — от переключения платформ до индивидуальных абатментов. Но даже такое не всегда возможно. Приходится удалять импланты и заново проводить имплантологическое лечение.
Чего делать нельзя?
Нельзя валить всё на ортопеда. Если он приступает к протезированию на установленных имплантах — он принимает на себя ответственность на результат. Вы не можете заставить его это сделать. Если он отказывается — следовательно, всё так плохо, и доктор не может обещать пациенту удовлетворительный результат.
Не нужно придумывать истории про перемещение имплантов и их миграцию. Да-да, такие байки иногда рассказывают!
Нельзя пугать пациента. Ну да, ошибся. Но в долгосрочной перспективе проигнорированная ошибка гораздо неприятнее, чем риски, возникающие при ее исправлении.
Что нужно сделать?
Сделать выводы из сложившейся ситуации. Если речь идет о неверной локализации — в будущем нужно пользоваться шаблонами и направляющими. Если речь идет о неверно подобранных имплантах — в следующий раз не нужно игнорировать остеопластику и синуслифтинг. В конце концов, не ошибается тот, кто ничего не делает, а опыт — «сын ошибок трудных… (с)».
Если в области удаляемого импланта достаточный объем костной ткани и слизистой оболочки — можно сразу провести реимплантацию или остеопластику. Если нет — дождаться нормального заживления лунки импланта, затем продолжить работу. Спокойно продолжить имплантологическое лечениелечение.
Что вообще нужно знать об удаляемых имплантах?
Вне зависимости от того, по какой причине и на каком сроке удаляется имплантат, нужно знать следующее:
- Практически у всех современных производителей имплантов существует пожизненная гарантия на их продукцию. Но это гарантия на импланты, как на изделия, а не на имплантологическое лечение, в целом! Другими словами,удаленный имплантат вам большинство фирм заменит, но оплачивать повторное лечение, разумеется, никто не будет.
- По существующему ныне законодательству, гарантии на хирургические операции не существует. Гарантийные обязательства на хирургические манипуляции (включая имплантологию) определяются клиниками и врачами самостоятельно, указываются в соответствующих договорах на оказание медицинских услуг. Но не забывайте, что Закон имеет приоритет над любыми договорами и соглашениями, поэтому то, как будет регламентироваться повторная операция — во многом зависит от того, как врач или клиника дорожат своей репутацией.
- Если для доктора или клиники репутация действительно имеет значение — подобные вопросы всегда решаются в пользу пациента. На любом сроке и на любом этапе лечения.
- Ошибаются все, и хорошие доктора, и плохие. Просто хорошие ошибаются реже, умеют исправлять свои ошибки и делать из них выводы.
В общем, друзья, удаление импланта — это не приговор. Отторжение импланта вовсе не означает, что реимплантация невозможна. Просто, как говорят в Роскосмосе, «что-то пошло не так». Как только причина отторжения будет найдена и исправлена — всё пойдет так, как надо.
Удачи Вам! И поменьше проблем в лечении.
С уважением, Станислав Васильев.


















Комментарии
Пока нет комментариев.