Отдаленные результаты имплантации и профилактические осмотры
Друзья, недавно мы обсудили несколько очень важных моментов, касающихся дентальной имплантации:
- Почему отторгаются и не приживаются импланты?
- Как определить, все ли в порядке с установленными имплантами?
Для тех, кому лень возвращаться к этим записям и читать их, повторюсь очень кратко: отторжение импланта до года после протезирования (в т. ч. до протезирования) есть проблема врача, а в срок от года и дольше после протезирования — проблема пациента. У неприживаемости имплантов есть вполне конкретные причины, среди которых «особенности организма пациента» играют последнюю роль.
Сегодня я хотел бы с вами обсудить отдаленные результаты имплантологического лечения и понять, что мы от этих самых имплантов ожидаем.
Не секрет, что дентальная имплантация и протезирование на имплантах — весьма дорогостоящая штука. Причем, во многом стоимость работы зависит от пожеланий пациента — чем выше эстетические и функциональные требования, тем больше объем и, соответственно, цена лечения.
Но что мы получаем за эти деньги?
В первую очередь, длительный срок службы протеза. В отличие от любых других видов протезирования, ни импланты, ни коронки на имплантах не требуют замены и, в случае адекватного ухода и гигиены, будут «жевать» очень долгое время, вплоть до конца жизни.
Во-вторых, дентальная имплантация — единственный метод опоры протезов, который не приводит к ухудшению состояния полости рта.
Так, в случае изготовления мостовидного протеза в случае одного отсутствующего зуба, нам приходится препарировать (нередко — депульпировать, «удалить нерв») и готовить под коронки два соседних зуба. В итоге, мы получаем еще два проблемных участка в полости рта: за мостовидным протезом требуется тщательный уход, а сами депульпированные зубы подвергаются значительной перегрузке — и, следовательно, срок их службы относительно небольшой. Нередки случаи, когда через 4-8 лет эксплуатации «моста», приходится удалять опорные зубы и расширять область имплантации. Так, мы постепенно приходим к съемному протезированию.
Я уже не говорю об эстетической и функциональной стороне вопроса. Мостовидный протез — это именно протез, назвать его «искусственным зубом» в полном смысле этого слова не представляется возможным.
Другой возможный способ протезирования без имплантов, — и это касается, в первую очередь, значительного количества отсутствующих зубов, — съемное протезирование.
Многие пациенты говорят, что «со съемными протезами приходит старость», поскольку сильно падает качество жизни. Со съемным протезом неудобно разговаривать, жевать, улыбаться и вообще — жить полноценной жизнью. Более того, в силу особенностей удержания в полости рта, любой съемный протез крайне негативно воздействует на зубы и подлежащую десну.
Получается, что любые зубные протезы, как съемные, так и мостовидные, со временем потребуют замены вследствие повреждения ими зубов и окружающих тканей.
Почему же не требуется менять импланты или протезы на имплантах?
Дело в том, что коронка на импланте, по сути дела — искусственный зуб. Сам имплантат играет роль корня, а металлокерамическая или циркониевая коронка — роль коронковой части зуба.
Дентальный имплантат восстанавливает, прежде всего, фунциональную роль зуба. Благодаря ему, жевательная нагрузка передается с коронковой части, непосредственно на «искусственный корень» (имплантат), и далее распределяется в костной ткани — всё происходит точно также, как у естественных зубов.
Вокруг установленного имплантата со временем формируются структуры тканей, схожие с теми, что окружают естественные зубы (например, слизистотканная муфта, окружающая основание абатмента, является «почти» аналогом круговой связки зуба).
Вот почему я утверждал и продолжаю утверждать, что размер и положение импланта должны соответствовать размеру и положению отсутствующего зуба. Вот почему я всерьез рассматриваю только винтовые импланты строго определенных производителей — ведь наша задача не «воткнуть» имплантат любой ценой, — мы должны воссоздать не только зуб, но и весь комплекс тканей вокруг него. Только так можно добиться качественной эстетики, хорошей функциональности и длительного срока службы искусственных зубов.
Кстати, о длительных сроках службы. Многие хорошие и честные стоматологические клиники дают на ортопедические конструкции с опорой на импланты определенную гарантию — 1 год с момента протезирования.
Данный срок совершенно оправдан — обычно за этот период все возможные проблемы, в том числе, ошибки, допущенные при установке имплантов и протезировании, дают о себе знать. Если протез на имплантах простоял больше, чем один год — значит, какие-то неприятности с ним в отдаленном периоде маловероятны. Конечно, при условии качественного ухода и тщательной гигиены полости рта.
Сразу отмечу, что «пожизненная гарантия» или «гарантия 10-15 лет», которую обещают некоторые не очень добросовестные клиники или стоматологи — небольшое лукавство.
Во-первых, когда по каким-то причинам пациент теряет импланты через 4-5 лет после установки, вдруг выясняется, что «пожизненная гарантия» распространялась на имплантат как на техническое изделие, а не на имплантацию как на медицинскую услугу. Вот, имплант, в руке — он же не сломался! Значит, негарантийный случай.
Действительно, сломать имплантат очень и очень сложно. Титановый болт 5-миллиметрового диаметра же.
Во-вторых, потеря имплантатов в отдаленном периоде (от года и больше с момента протезирования) — это почти всегда проблема ухода и гигиены. То есть, если пациент не чистил зубы, не приходил на профилактические осмотры — кто в этом виноват?
Правильно сказал однажды мой друг Хаден, врач-стоматолог-ортопед: «Я могу дать пожизненную гарантию на зубные протезы, но в этом случае стоимость данной работы будет в 3-4 раза выше клинического прайса.» И не возразишь)).
* * *
К сожалению, пациент не всегда может самостоятельно заметить какие-то проблемы на начальных стадиях. Чаще всего к врачу обращаются лишь тогда, когда беда приобрела какие-то совершенно катастрофические масштабы.
Поэтому одна из рекомендаций для пациентов с имплантами — периодические, примерно, раз в полгода, профилактические осмотры. В нашей клинике мы сделали их бесплатными — и теперь имеем возможность наблюдать отдаленные результаты своей работы.
Лично я считаю результатом именно то, что мы наблюдаем через несколько лет после имплантации.
Тут как с хорошим вином — пока оно созревает, то изменяет свой вкус и аромат, но со временем процессы брожения почти прекращаются, и вино, разлитое в бутылки, уже более-менее стабильно — именно тогда мы дегустируем, оцениваем и говорим, удалось вино или нет.
Я специально выбрал две работы, про которые уже писал. С момента имплантации и протезирования прошло 1,5-2,5 года. Я сделал фотографии и предлагаю сравнить их с тем, что было через несколько месяцев после протезирования.
Случай №1. Немедленная одиночная имплантация.
Начало и промежуточные результаты данной работы можно посмотреть здесь>>
Исходная ситуация, удаление зуба и немедленная установка импланта Astratech Osseospeed:
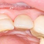
Через несколько месяцев после протезирования:
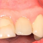
Через два с половиной года после протезирования:
Как видно на фотографиях, эстетика десны в области искусственного бокового резца только улучшилась — межзубные сосочки и прикрепленная слизистая оболочка приобрели правильную форму и цвет, а сам зуб, практически, неотличим от естественного. Осталось только уговорить пациентку продолжить работу с клыком и центральными резцами, которые, несомненно, требуют такой же качественной реставрации.
Случай №2. Имплантация и несъемное протезирование при полном отсутствии зубов.
О нем, как и о методике лечения, подробно рассказано здесь>>
Исходная ситуация — и-за осложнений пародонтита, мы вынуждены удалить все зубы на нижней челюсти. На верхней челюсти нет зубов больше десяти лет:
Одномоментно, на нижнюю челюсть установлены четыре импланта Astratech Osseospeed. Чуть позже, 4 импланта установлено на верхнюю челюсть:
По схеме all-on-4 изготовлен и установлен несъемный металлокерамический протез. Винтовая фиксация протеза к имплантам:
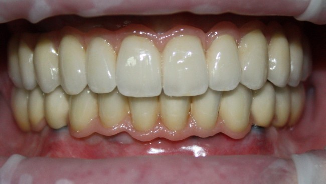
Конечный результат через несколько месяцев после протезирования:
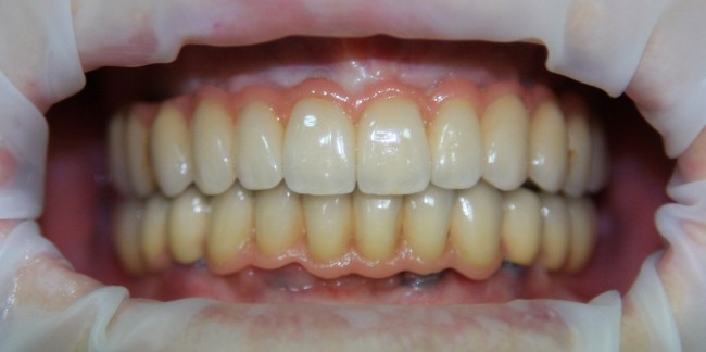
Профилактический осмотр через полтора года после протезирования. У пациентки нет никаких жалоб, гигиена полости рта в норме:
Внешний вид протеза в полости рта:
Внешний вид при улыбке:
В последнем случае можно сказать, что мы раз и навсегда решили проблему с зубами — нам точно не придется что-то доделывать или переделывать. Для человека, разменявшего восьмой десяток, это очень важно — спокойно жить, нормально жевать и улыбаться, не отвлекаясь на стоматолога.
Как видите, что в первом, что во втором случае, с протезами и имплантами за срок в 1,5-2,5 года не произошло никаких изменений. Это говорит о том, что к вопросу работы с данными зубами мы совершенно точно уже не вернемся. Хотя, и продолжим наблюдать за ними в течение еще нескольких лет.
Профилактические осмотры — это важная и неотъемлемая часть стоматологической работы. Даже если, на ваш взгляд, с зубами ничего не происходит — имеет смысл заглядывать к стоматологу хотя бы раз в полгода-год. Возможно, действительно никакого лечения не требуется, но если есть какая-нибудь незаметная пока проблема — лучше ее выявить и ликвидировать. Ведь, чем раньше начато лечение — тем оно эффективней и надежнее. Ну и, разумеется, дешевле.
Надеюсь, по двум указанным случаям, понятны перспективы качественного имплантологического лечения и протезирования — на сегодняшний день, это единственный надежный качественный, эстетичный, функциональный и долговечный способ решения проблемы отсутствующих зубов.
Наверняка, следующий этап развития имплантологии — это стволовые клетки, выращивание и интеграция зубов из биоматериалов. Но когда это будет и сколько это будет стоить?
Как обычно, жду Ваши вопросы в комментариях.
Спасибо за внимание.
С уважением, Станислав Васильев.

























Комментарии
Пока нет комментариев.