Мои работы: Остеопластика-имплантация-протезирование. Ничего сложного, простая последовательность действий.
Существуют законы природы, которые невозможно нарушить. Если доктор знает эти законы и следует им — лечение идет успешно. Любые попытки их обойти или переиначить, обречены на провал. Когда некоторые из моих коллег бездумно верят рекламе («насыпали порошок — выросла кость»), совершенно не задумываясь над тем, как происходит процесс роста и формирования костной ткани — это печально. Даже единичные неудачи сильно бросают тень на всю имплантологию в целом, хотя, разумеется, проблема не в методе, а в реализации этого самого метода.
Сегодня я хотел бы показать вам один интересный случай из собственной практики. Это — моя совместная работа с Ахинян Давидом, молодым и очень перспективным врачом-ортопедом.
Вместе с ним мы сделали из этого:
вот это:
О том, как всё это происходило, читайте ниже.
Краткая предыстория: Пациентка, молодая женщина, несколько лет назад потеряла боковой резец. Пока готовилась к протезированию, резко ухудшилось состояние и объемы костной ткани в области отсутствующего зуба. Несколько раз ей делали операцию остеопластики («наращивания костной ткани») с помощью биоматериалов, но безрезультатно — расходились швы, материал нагнаивался или рассасывался. Это продолжалось в течение двух лет.
В совершенном отчаянии она пришла к нам на прием. К этому времени ситуация усугубилась — появилась рецессия десны в области центрального резца, сильно ухудшился внешний вид десны:
Учитывая то, что эти зубки попадают в зону улыбки, мы должны создать максимально эстетическую конструкцию с учетом пожеланий пациентки. Данную задачу мы делим на две части:
Часть 1. Воссоздание объема костной ткани, реконструкция десны и десневого контура (отв. тов. Васильев С.)
Часть 2. Этапы временного протезирования, окончательное контурирование десны и создание максимально естественной протетической конструкции (отв. тов. Ахинян Д.)
К сожалению, условия работы с костной тканью и слизистой оболочкой самые, что ни на есть, неприятные. Дело в том, с каждой последующей операцией (а у пациентки их было несколько), в тканях из-за рубцевания перестраивается микрососудистое русло — и, в результате они регенерируют всё хуже и хуже. Вот почему одноэтапные операции — это один из трендов современной имплантологии. Чем меньше операций, тем меньше повреждения тканей, тем лучше результат и качество регенерации. Ну и, в конце концов, для пациента одна операция всегда лучше, чем две или три.
Только вот в данном случае мы не можем рассчитывать на одноэтапное решение проблемы — слишком уж сложной получается работа и слишком непредсказуемым будет ее результат. Поэтому составленный мной план имплантологического лечения выглядит следующим образом:
Этап I. Остеопластика методом аутотрансплантации костного фрагмента.
Этап II. (через 3 месяца). Имплантация
Этап III. (через 3 месяца). Формирование десны под временное протезирование
Этап IV. Контурирование десны под финишное протезирование.
Приблизительный срок лечения составляет около 7-8 месяцев.
* * *
Этап I. Остеопластика методом аутотрансплантации костного фрагмента.
Делаем разрез в пределах кератинизированной десны. Скелетируем кость, видим следующее:
По краям от лунки видны остатки прошлых операций. Это не кость, а грануляции вперемежку с твердыми частичками биоматерила. Жди мы хоть несколько лет — вряд ли они организовались в приемлемую для имплантации костную ткань. Поэтому мы всё вычищаем, до естественной кости:
Ее объем, как мы видим, небольшой, использовать его для ПРАВИЛЬНОЙ установки импланта нереально. Почему выделил слово «ПРАВИЛЬНОЙ»? Потому что некоторые типы имплантационных систем позволяют установить имплантат хоть куда, хоть в какой объем кости, если очень хочется, конечно. Но ведь у нас нет задачи «воткнуть» имплантат всеми правдами и неправдами, верно? Комплексная цель лечения — воссоздание полноценно функционального зуба со всеми окружающими тканями. Чем мы, собственно, и занимаемся.
Не буду показывать процесс забора костного аутотрансплантата — здесь нет ничего интересного. Небольшой фрагмент костной ткани мы берем с области наружной косой линии нижней челюсти, как, впрочем, и в большинстве случаев.
После чего мы адаптируем и фиксируем костный блок в области дефекта:
Если вы обратили внимание, костный блок и его ложе неконгруентны, между ними есть пустое пространство. Если оставить всё так, то в промежуток между костью челюсти и блоком врастет слизистая оболочка (она регенерирует намного быстрее кости), и вместо нормальной кости мы получим секвестр на винтиках. Чтобы этого не произошло, используется барьерная мембрана, в данном случае коллагенновая BioGide компании Geistlich:
В процессе забора костного блока мы собрали небольшое количество аутокостной стружки — помещаем ее между пересаженным блоком и костью челюсти. В принципе, этот этап необязателен — даже в изолированном мембраной кровяном сгустке нормально запускаются процессы остеогенеза — и у меня по этому поводу есть ряд наблюдений. Поскольку «пришить» мембрану пинами к твердому костному блоку проблематично, для ее фиксации я использую очень короткий (4 мм) винт:
После чего накладываем швы. В местах сильного натяжения я не полагаюсь на Gore-Tex, прошиваю их толстым (4-0) Викрилом. Но лучше ВСЕГДА использовать нерезорбируемый шовный материал.
На первом этапе операция закончена. Пациентке даются стандартные послеоперационные назначения и рекомендации. По времени первая операция занимает 1 час 15 минут.
А вот дальше — самое интересное.
Я неоднократно писал о том, что самое сложное в хирургии — это реабилитация пациента. Можно научить обезьяну махать скальпелем и делать дырки под импланты, но от этого она не станет хирургом. Вот сделать так, чтобы даже после самой сложной операции пациент нормально себя чувствовал, не выбивался из социума и был трудоспособен — вот это действительно искусство.
Поэтому в нашей практике мы уделяем послеоперационной реабилитации пациентов максимум внимания. В частности, контролируем состояние раны на осмотрах.
Вот так она выглядит через два дня:
А вот так — через четыре:
Уже на этом этапе можно сказать, что дальнейший послеоперационный период пройдет без проблем — пациентку ничто не беспокоит, цвет и состояние слизистой оболочки в области швов вполне себе нормальное. А это значит, что первый этап закончится успешно.
Этап II. Имплантация.
Прошло 3 месяца. Послеоперационная рана выглядит следующим образом:
Мы можем приступить к имплантации.
Я работаю несколькими имплантационными системами. Исходя из клинической ситуации и пожеланий пациентки, мы остановились на имплантационной системе Dentsply Friadent XiVE. Вообще, я нередко предоставляю выбор имплантов самим пациентам, поскольку от марки имплантационной системы результат лечения зависит намного в меньшей степени, нежели принято считать.
Делаем разрез, скелетируем костную ткань:
Как видите, коллагеновая мембрана полностью резорбировалась, а костный блок прижился и интегрировался на челюстной кости. Можно убрать винты:
и приступить к подготовке лунки под имплантат:
По существующим правилам, при установке импланта в области фронтальной группы зубов, его ось должна выходить на небную поверхность коронки или режущий край. Чего мы и добиваемся, контролируя процесс с помощью пинов.
Я планирую установить имплантат Dentsply Friadent XiVE диаметром 3.8 и длиной 13 мм. Это оптимальный размер импланта для протезирования боковых резцов.
Установка импланта:
Убираем имплантодержатель. Обратите внимание, что полированная фаска вокруг шейки импланта находится над уровнем костной ткани. Чрезмерное погружение импланта — весьма распространенная имплантологическая ошибка.
Заглушка:
И швы:
Как и на первом этапе, мы делаем назначения и даем рекомендации, а также в течение нескольких дней контролируем состояние послеоперационной раны.
Вот так она выглядит через день после операции:
Разумеется, пациентку никто не оставляет без зуба. Если Вы обратили внимание, то заметили справа на правой фотографии остатки металлического ретейнера. С помощью него к соседним от дефекта зубам фиксируется адгезивная коронка. Она, конечно же, не дает возможности нормально кусаться, но зато отлично маскирует отсутствие зуба. Таким своеобразным временным протезированием пациентка пользуется от начала и до конца лечения.
А мы, тем временем, планируем третий этап.
Этап III-IV. Формирование и контурирование десны.
Разумеется, чтобы зафиксировать на имплантат коронку, необходимо его открыть. Затем,дождаться эпителизации десны вокруг его соединительной части. Для этого используются формирователи десны:
В начальной стадии процесс формирования десны занимает около двух недель. После чего мой друг Давид приступает к изготовлению временной коронки. «Временной», потому что нужно доформировать десну и решить проблемы с соседними зубами. Ведь нет ничего хуже, чем сначала подгонять постоянные коронки под существующие зубы, а потом — существующие зубы под уже установленные постоянные коронки. Всегда лучше делать всё в комплексе. Так рациональнее и выгоднее.
Временные же коронки дешевы, их легко корректировать и заменить, в зависимости от обстоятельств.
В итоге, на этапе временного протезирования у нас получилось вот это:
Правый боковой резец (на фото слева) — тоже временная коронка на импланте. Так уж получилось, что пока мы занимались левым боковым резцом, отвалилась коронка и штифт на правом. Пришлось его удалить и одномоментно имплантировать.
Как видите, эстетика никакая. Нужно как-то всё исправлять.
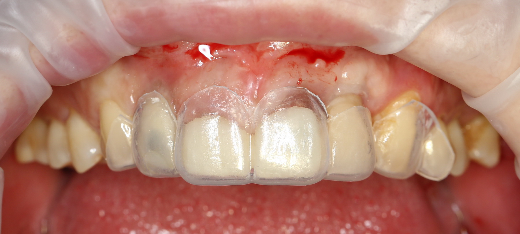
Для этого Давид делает wax-up — восковое моделирование группы зубов. По нему изготавливает каппу для контурирования зубов:
После чего я это самое контурирование и делаю:
а когда десна более-менее заживает:
он меняет временные коронки на более естественные. С этого момента мы уже можем оценить первые результаты нашей работы:
В этот момент мы спрашиваем пациентку, устраивает ли ее получившийся контур десны, форма и строение коронок зубов? Это очень важно, поскольку главное в нашей работе — пожелания пациента. А мы лишь воплощаем их в реальность.
Улыбка с новыми контурами.
Если стадия примерок и временного протезирования прошла успешно, можно приступать к постоянному протезированию.
Зубы перелечивают и готовят под коронки:
Тем временем, изготавливают коронки:
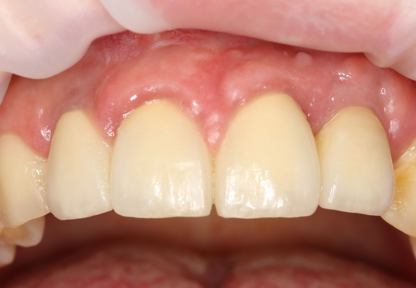
и фиксируют их на зубах и имплантах. Это фотография сразу после фиксации:
вот так это выглядит со стороны. Учтите, что это — простая металлокерамика на простых абатментах. Никаких сверхнаворотов или сложно-выдуманных решений:
По-моему, неплохо, а?
Но сиюминутный результат — это, дорогие друзья, не результат. Оценивать результат имплантологического лечения и протезирования сразу после его завершения — всё равно, что оценивать урожайность пшеницы по всходам. Поэтому мы продолжаем наблюдать пациента некоторое время, чтобы увидеть среднесрочные результаты своей работы.
Вот фотография, сделанная на одном из профилактических осмотров, примерно через полгода после завершения протезирования:
Сравните это с тем, что было ранее.
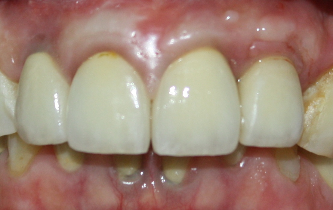
Прошло еще полгода:
Есть проблемы с гигиеной, это да. Но, на мой взгляд, мы добились того, чего желала пациентка — естественного вида фронтальной группы зубов.
Пациентке нравится. Нам тоже. Будем продолжать работу с другими зубами.
* * *
Давайте еще раз вернемся к началу:
И посмотрим, что получилось в конце:
или:
Вот так это и делается. В несколько этапов, слаженной работой хирурга, ортопеда и пациента. И, кстати, это относительно недорогая работа. Без изысков, так сказать.
Готов ответить на вопросы в комментариях.
Спасибо за внимание.
С уважением, Станислав Васильев.























































Комментарии
Пока нет комментариев.