Имплантация с одновременным наращиванием костной ткани. Алгоритм операции, результаты, проблемы и методы их решения.
Это продолжение большой и важной статьи, читать её без тщательного изучения предыдущей части глупо и бессмысленно. Поэтому начни отсюда>>
Особенности и алгоритм проведения хирургического вмешательства.
Здесь нет ничего сложного. Особенно, если ты правильно подготовился к операции. Тем не менее, пройдемся по пунктам:
1. Поговори с пациентом.
Перед тем, как зайти в операционную, обсуди с пациентом предстоящее хирургическое вмешательство. Уверен, что у тебя согласованы, как марка имплантатов, так и метод остеопластики, но все же предупреди пациента, что во время операции ты будешь исходить из задачи максимального снижения рисков, а потому можешь поменять план лечения, если того потребует клиническая ситуация. Объясни пациенту, что существует ненулевая вероятность того, что сегодня вы ограничитесь только остеопластикой — в случае, если ты не сможешь создать условий для правильной установки правильных имплантатов в правильное положение. Также ты можешь поменять метод остеопластики или вообще отказаться от наращивания костной ткани — и пациент должен быть к этому готов.
2. Подготовь инструменты и материалы.
Отдельно замечу, что в нашей уютной КЛИНИКЕ ИН установка любого из имплантатов стоит одинаково — и это даёт нам возможность выбирать имплантационную систему, ориентируясь на клиническую ситуацию, а не на кошелек пациента. Тем не менее, мы обязаны разъяснить наш выбор и учесть пожелания пациента.
Такая же ситуация с методами остеопластики — любой из вариантов наращивания костной ткани в нашей клинике стоит от 0 до 50 тысяч рублей, дополнительно оплачиваются необходимые материалы. И поскольку разница между операциями только в стоимости материалов, — а их у нас всегда полный склад, — обычно мы ЛИШЬ ПРЕДПОЛАГАЕМ, каким методом будем проводить наращивание кости. Потому к операции наши ассистенты готовят всё необходимое для ЛЮБОГО из возможных вариантов остеопластики — и это дает нам больше гибкости в принятии решений.
В общих чертах, тебе нужны инструменты на предполагаемый вид остеопластики и набор для установки имплантатов. В общем, ничего такого, чего нет у тебя в клинике.
Другое дело, что порядок использования инструментов будет зависеть от того, какой метод остеопластики ты выберешь. И далеко не всё тебе пригодится в работе.
Поэтому не нужно заваливать инструментальный столик металлоломом, не нужно распаковывать всё и сразу (это распространенная ошибка). Достаточно просто держать необходимые инструменты в пределах пятисекундной досягаемости.
Важная ремарка: дабы полноценно показать каждый из этапов, для демонстрации я использую не одну, а несколько разных операций. Пожалуйста, отнесись к этому с пониманием.
3. Сделай анестезию.
Где-то я уже писал о том, что в амбулаторной стоматологии, коей мы все тут занимаемся, нет таких хирургических операций, которые нельзя было бы провести под местной анестезией. Седацию или наркоз в амбулаторной имплантологии (не говоря уже об удалении зубов) используют только мудаки. Надеюсь, что ты не мудак. Поэтому сделай анестезию, аккуратно и качественно.
Ты уже заметил, я не в первый раз называю хирургов-любителей наркоты (седации и наркоза) мудаками. Связано это с тем, что такой вид обезболивания нужен не столько пациентам, сколько врачам, и чаще именно врачи настаивают на использовании наркоты для проведения операции, а не пациенты. Почему такие врачи - мудаки, я расскажу тебе в одной из будущих статей. Тема серьезная и ооооочень важная, ибо вопрос о безопасности амбулаторной стоматологии вообще.
4. Сделай разрез и скелетируй альвеолярный гребень в области операции.
Правильный разрез — это залог последующего надежного и герметичного ушивания операционной раны. Иными словами, делая разрез — думай о том, как ты будешь его зашивать. Придерживайся принципа «одной операционной раны» — забор аутотрансплантата (если требуется), как и все основные этапы операции должны проходить через один доступ.
Например, при таком (см. картинку выше) относительно небольшом разрезе ты получишь, значительный по размеру доступ, в т. ч. и к донорской зоне:
5. Проведи необходимые измерения и сделай разметку имплантатов.
Этот этап существенно облегчают заранее изготовленные хирургические шаблоны.
Другое дело, что использование накостных шаблонов в случае с одновременной остеопластикой затруднено, поэтому я рекомендовал бы использовать шаблоны ориентировочные. Что-то вроде каппы с разметкой зубов и свободой творчества.
В случае отсутствия хирургических шаблонов, пользуйся правилами подбора и позиционирования имплантатов. В конце концов, ты можешь с помощью фрезы или ультразвукового ножа нанести разметку прямо на альвеолярный гребень:
Отталкиваясь от полученных данных, ты можешь правильно подобрать аутотрансплантат по размеру, если таковой тебе потребуется. И, наконец, выбрать метод наращивания костной ткани.
Напоследок замечу, что больше всего косяков твои коллеги делают именно в вопросах позиционирования и подбора имплантатов. В сочетании с остеопластикой, всё это еще усложняется тем, что доктору сложно представить правильное положение имплантатов в условиях дефицита костной ткани — очень уж хочется погрузить их как можно больше в кость — а кости-то нет! Поэтому обязательно используй хирургические шаблоны, во всех ситуациях, когда положение и размер имплантата неочевидны. Ну или в случае, если у тебя пока мало опыта.
6. Определись с методом остеопластики.
Пришло время решить, каким методом ты будешь проводить остеопластику. Это необходимо сделать именно сейчас, поскольку от твоего решения будет зависеть этапность хирургической операции (об этом мы уже говорили выше):
Если ты планируешь наращивать костную ткань методом направленной костной регенерации, то сначала ты должен установить имплантаты.
Если ты выбрал аутотрансплантацию или остеотомию, то сначала нужно сделать остеопластику, а потом уже заниматься имплантацией.
Как делать остеопластику быстро и с результатом — об этом написано немало. Почитай здесь>> или вот тут>>. В контексте сегодняшнего обсуждения, наращивание костной ткани ничем не отличается того, что мы делаем отдельной операцией.
Но вот установка имплантатов… тут да, разница есть.
7. Особенности установки имплантатов одновременно с операцией остеопластики.
Я уже отметил то, что устанавливая имплантат в условиях дефицита костной ткани, ты работаешь в неидеальных условиях. И это нехорошо, поскольку тот момент силы, который обычно «размазывается» на всю поверхность лунки, теперь распределен на значительно меньшей площади:
А это значит, что давление, оказываемое имплантатом на окружающую костную ткань, будет значительно выше, чем при обычной имплантации в достаточном объеме костной ткани.
Тебе хорошо известно, чем чревато избыточное давление на костную ткань. В лучшем случае это приведет к отторжению, в худшем — ты получишь периимплантит, лечение которого, мягко говоря, не самое приятное и результативное.
Поэтому, для начала, снизь момент силы при установке имплантата в два раза. Лунку под имплантат следует готовить по полному протоколу, включая использование метчика (если таковой имеется). Не бойся сделать перепреп. Максимальный момент силы — 15 Нсм, но лучше меньше.
При подготовке лунки и установке имплантатов пользуйся хирургическим шаблоном и/или следуй имплантологическому правилу #2.
Сразу после установки имплантат нужно заглушить, чтобы в шахту не успела попасть кровь или раневая жидкость, не говоря уже о слюне. Не успел — промой шахты физраствором, заполни гелем «Метрогил Дента» и поставь заглушки.
8. Изолируй область операции (необязательно, но желательно).
Направленная костная регенерация (НКР) предполагает использование барьерных мембран в качестве каркаса, а потому какая-то дополнительная изоляция в этих случаях не нужна. Единственное пожелание — не фиксировать барьерную мембрану заглушкой к имплантату, как это показывают некоторые долбонавты — в этом случае ни о какой изоляции речи быть не может, кроме того, шахта имплантата перестает быть герметичной. Поэтому при проведении НКР обязательно перекрывай имплантаты с заглушками барьерной мембраной. Целиком и полностью.
Изоляция области операции после установки имплантатов с аутотрансплантацией костных блоков или остеотомией чаще не требуется, но очень желательна:
Единственная ситуация, когда это на 146% необходимо — это большое, от 1 мм и более расстояние между пересаженным или перемещенным костным фрагментом и/или принимающим ложем. Т. е. правила ровно те же, что и при обычной остеопластике:
9. Герметично зашей операционную рану.
Забудь про формирователи десны. Забудь про временное протезирование. Еще в 2015 году в одной очень древней статье я писал о том, что герметичность послеоперационной раны является важным фактором успеха остеопластической операции. С тех пор, собственно, ничего не поменялось:
Как бы тебе ни хотелось прильнуть с ЛГБТ-сообществу любителей IDR, запомни — остеопластика, с имплантатами или без, не терпит открытых ран. Установленный сразу после операции формирователь десны, абатмент или временная коронка — это уже открытая рана, которая ставит под угрозу результат остеопластики.
Для наложения швов мы используем нерезорбируемый монофиламентный шовный материал. Если ты в самом начале операции правильно сделал разрез, то у тебя не будет никаких сложностей с герметичным ушиванием раны.
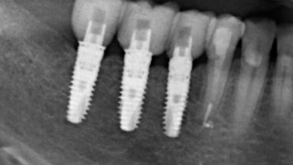
Теперь сделай контрольные снимки (обычно мы проводим ортопантомографию):
назначь пациенту необходимое постоперационное лечение и пригласи на приём через 1-2 дня.
Послеоперационное наблюдение.
Симптоматика постоперационного периода ничем не отличается от таковой после обычной операции наращивания костной ткани. Об этом подробно написано здесь>> и тут>>.
Послеоперационные осмотры
Если кратко, то в зависимости от симптоматики и связанных с ней рисков, мы можем разложить послеоперационный период на несколько временных промежутков:

следовательно, мы привязываем график послеоперационных осмотров к этим временным промежуткам. Однако, не стоит исключать ситуаций, когда что-то пошло не так, а потому осмотров может быть и больше. Кстати, ты можешь снять швы на 10-14 день после операции, но не забудь пригласить пациента на осмотр через 4-6 недель после снятия швов.
Постоперационная лекарственная терапия
Про неё тоже написано немало>>. Обязательным является назначение антибактериальных препаратов, в то время как прием НПВС, не говоря уже о глюкокортикостероидах, стоит ограничить.
Не назначай лекарства с недоказанной эффективностью, гомеопатию и прочие фуфломицины, если не хочешь выглядеть в глазах пациента как полный придурок. Каждое из сделанных тобой назначений должно быть оправдано и обосновано.
Не назначай дефицитные и дорогие лекарственные препараты — высока вероятность, что пациент просто не будет их принимать. В идеале, любое из выписанных тобой лекарств он должен найти в ближайшей аптеке и по доступной цене.
Не назначай лекарства с неудобным способом приёма. Если ты выписываешь пациенту инъекции в подключичную артерию или вагинальные свечи мужику — задумайся на секунду, как он будет их себе вставлять.
Предупреди пациента о том, что ты будешь корректировать назначения в зависимости от развития постоперационной симптоматики — и это для него еще один резон не пропускать послеоперационные осмотры.
Продолжение лечения
Срок реабилитации до следующего этапа лечения такой же, как и при обычной остеопластике — 3-4 месяца. Почему? Об этом написано вот здесь>>
Дольше ждать не имеет смысла. Во-первых, если костная ткань не «наросла», а имплантаты не интегрировались за 3 месяца, то этого не произойдет и за 9 месяцев. Во-вторых, из-за длительного отсутствия зубов у пациента будет деформироваться зубной ряд, вплоть до полной невозможности выполнения намеченного плана протезирования.
Обычно следующим этапом является формирование десневой манжеты, установка формирователей десны или мукогингивопластика. Последнюю можно начать и раньше, поскольку она не предполагает какой-либо нагрузки на имплантат или доступа к регенерату:
Результаты, возможные ошибки и осложнения.
В итоге, весь процесс установки имплантатов с одновременной остеопластикой можно выразить следующей схемой:
Главнейшим преимуществом такого подхода является сокращение сроков имплантологического лечения почти в два раза — за счет того, что имплантаты интегрируются одновременном с биоматериалами или пересаженным костным блоком. В ряде случаев мы экономим финансы пациентов, поскольку одна операция всегда будет стоить дешевле двух или трех.
Минусов тоже достаточно — необходимо сочетание целого ряда условий, чтобы подобное лечение вообще можно было реализовать, желательно с минимальными рисками.
Замечу, что в настоящее время примерно две трети остеопластических операций мы сочетаем с установкой имплантатов — и это не считая обычного сочетания имплантации с синуслифтингом. И, в принципе, получаем очень приличные результаты. И пациенты довольны — их лечение заняло меньше времени, они потратили меньше денег:
Но… не все так идеально. Пусть и редко, но проблемы случаются. Причем, накосячить можно на любом из вышеописанных этапов. Ниже мы рассмотрим основные ошибки хирургического этапа и связанные с этим осложнения.
Отсутствие внятного планирования.
Это основная беда всех челюстно-лицевых хирургов, у которых в соседнем кабинете нет стоматолога-ортопеда, способного грамотно и четко расписать схему протезирования. Несколько реже такое случается у имплантологов «на аренде» и других любителей коворкинга, где отсутствует нормальное взаимодействие с докторами смежных специальностей.
К чему это приводит? В итоге, имплантаты оказываются в любом месте, но не там, где должны находиться. Сотни, если не тысячи пациентов месяцами ходят из клиники в клинику с просьбой о протезировании, но везде встречают отказ, ибо сделать нормальные коронки на установленные им имплантаты просто невозможно.
Что делать? Просроченный автокредит, ипотека и шопоголизм в стадии обострения не должны тебе мешать принимать правильные решения. Несмотря на все свои животные инстинкты, жажду крови и страсть наживы, найди в себе силы записать пациента на консультацию к стоматологу-ортопеду. В ответ ты получишь не только необходимую схему протезирования, но и хирургические шаблоны. А там глядишь… возможно, остеопластика вовсе не потребуется.
Неверная оценка клинической ситуации.
Это старая как мир история о деньгах и времени: доктору хочется «все и сразу», а есть ли необходимые клинические условия для реализации задуманного, его никак не волнуют. Имплантолога гложет зависть к коллегам, выкладывающим в инстаграмчиках красивые картинки в стиле «было-стало», ему очень хочется попробовать то, что он видел на дорогущих и модных семинарчиках по IDR, VV1E, B2S и прочей малопонятной бабуйне. Ночами ему снится, как эдичка, борька или какой-нибудь лысый итальянец хвалят его за проделанную работу, восхищаются клиническими результатами и вручают «Оскара» за новую авторскую методику НX-T-НХ («НаХуячил-Так-НаХуячил»).
К чему это приводит? Удовлетворяя собственные амбиции, доктор проводит имплантацию с одновременной остеопластикой, несмотря на явные противопоказания и не обращая внимания на отсутствие условий для подобного лечения. В итоге, он сталкивается с огромным количеством тяжелых осложнений, теряет результат лечения, разочаровывается в методе и становится намного более консервативным (что, на самом деле, очень даже неплохо). Но, что намного хуже — он причиняет много страданий пациенту и лишает его возможности получить нормальные зубы.
Что делать? Запомни, эти ваши модные семинарчики, не говоря уже о социальных сетях — всего лишь отдельные дисциплины соревнования «У кого длиннее хер-2022». Есть нечто, значительно более важное и актуальное — это ЧЕЛОВЕК, который пришел к тебе за помощью. С этого момента ты начинаешь жить исключительно его интересами, пожеланиями и страхами. Поэтому засунь все свои амбиции поглубже в свою задницу, думай о том, как не накосячить. Любой спорный момент клинической ситуации, любые сомнения должны быть разрешены в пользу минимизации рисков возможных ошибок и осложнений. Еще раз перечитай начало этой статьи — может быть, имеет смысл всё делать последовательно, а не в одну операцию?
Неправильный выбор имплантационной системы.
Ты работаешь с тем, что дал тебе твой работодатель. Или у вас «как у всех» — в клинике есть два вида имплантатов, дешевые и дорогие. Твои критерия выбора имплантационной системы: ты ставишь дорогие имплантаты тем, кто может себе это позволить. Тем, кто не может, ты ставишь дешевые. При этом, четко и обосновано объяснить разницу между дешевыми и дорогими имплантатами ты не можешь даже себе, не говоря уже о пациенте.
К чему это приводит? Ты ставишь субгингивальные имплантаты там, где требуются субкрестальные — и получаешь платформу в пяти миллиметрах над уровнем костной ткани. Ты пытаешься нарастить костную ткань поверх трансгингивальных имплантатов — и закономерно получаешь осложнения. Ты используешь имплантаты с агрессивной резьбой, готовишь лунку с помощью цилиндрических фрез с большими переходами — и выламываешь только что зафиксированный костный блок. Ты сам себе создаешь сложности лишь потому, что ведешься на всякую рекламную бабуйню, упуская то, что действительно важно — это макродизайн имплантата и сопровождающий его хирургический протокол.
Что делать? Цена — это не тот критерий, по которому выбираются имплантационные системы для практики. Намного важнее иметь имплантаты разного типа и разного дизайна для того, чтобы подбирать их в зависимости от клинической ситуации. В этом ключе лучше иметь одну имплантационную систему, но много разных линеек имплантатов, чем десять систем, но с имплантатами одного типа.
Неправильный выбор метода остеопластики.
Та же проблема, что и с имплантатами — либо нет условий и необходимого оборудования, либо доктор научился одной методике наращивания костной ткани, а потому фигачит её везде, не очень-то задумываясь о показаниях и противопоказаниях. Как говорится, человек с молотком в любой проблеме видит гвоздь. То, что метод НКР довольно вяло и ненадежно реализуется на альвеолярном гребне с D1-биотипом, особенно в сочетании с имплантатами — это осознается и принимается с опытом, обычно после того какой-нибудь муж какой-нибудь пациентки ввалит доктору по первое число за неудачно проведенную операцию.
К чему это приводит? Приводит это к тому, что наращиваемая костная ткань никак не хочет наращиваться, несмотря на дорогостоящие биоматериалы и диплом доктора об окончании Urban Regeneration Institute. Недостаточный контакт пересаженного блока с принимающим ложем приводит к его отторжению, при этом поверхность имплантата открывается и инфицируется на значительном протяжении.
Что делать? Тщательно и разумно выбирай метод остеопластики, если хочешь сочетать его с установкой имплантатов. Еще раз перечитай раздел про выбор метода остеопластики, а также про условия, которые необходимо выполнить вне зависимости от метода. Обрати внимание, что графт (неважно какой) должен на достаточной площади контактировать с костью альвеолярного отростка. Если это условие не выполняется — лучше ограничься только остеопластикой без установки имплантатов.
Неправильная реализация этапа наращивания костной ткани
Сюда можно отнести рукожопое, безответственное и бездумное повторение известного тебе метода остеопластики — точь-в-точь как в басне Ивана Крылова «Мартышка и очки». Типа «я сделал всё, как в книжке (варианты — на сайте, лекции, вебинаре, рекламной брошюре), но получилось как всегда…». Причина тому — непонимание физиологических принципов регенерации и банальная неаккуратность — например, когда доктор пытается расщепить альвеолярный гребень молотком и долотом, а в итоге ломает пациенту челюсть.
К чему это приводит? Кэп Очевидность подсказывает, что ни к чему хорошему это не приводит. В наилучшем случае разваливается остеопластика, и мы теряем результат лечения. В худшем… я даже боюсь представить, что может быть худшем случае.
Что делать? Во-первых, нужно освоить все методы остеопластики отдельным этапом без установки имплантатов. При этом добиться устойчивых хороших результатов. Затем уже усложнять операцию установкой имплантов.
Во-вторых, запомнить, что в хирургии нельзя прикладывать усилия. Вообще никогда — всё хирургическое вмешательство проводится, буквально, кончиками пальцев.
В-третьих, не забывать, что критически важную роль в хирургии полости рта играет хороший обзор, а он, в свою очередь, зависит от правильно сформированного операционного доступа. И наконец, в-четвертых — выкини молоток из операционной. Постарайся попасть в голову тому, кто его в операционную притащил.
Ошибки на этапе установки имплантатов
Если не считать косяков позиционированием и подбором имплантатов (наиболее частые косяки), то грубейшей и основной ошибкой на этапе установки имплантатов является чрезмерный крутящий момент — от 30 Нсм и более. Мало того, что такое усилие само по себе избыточно, так оно еще и сосредотачивается на значительно меньшей, чем нормальная лунка имплантата, площади.
К чему это приводит? Как результат, мы получаем в лучшем случае отторжение имплантатов (вместе с развалившейся остеопластикой), а в худшем — периимплантит.
Что делать? Никогда-никогда не пользуйся ручными динамометрическими ключами, ибо велик соблазн перекрутить имплантат. Для установки оного используй автоматический наконечник или физиодиспенсер. Выстави на них отсечку в 20-30 Нсм (чем меньше — тем лучше). Если имплантат клинит на полпути, то есть смысл заново пройти лунку, сделать т. н. «перепреп».
Попытка немедленной нагрузки и открытое заживление раны
Много лет назад, анализируя результаты проведенных остеопластических операций, я пришел к выводу, что одним из ключевых факторов успеха является герметичность послеоперационной раны. Расхождение швов, нарушение целостности слизистой оболочки над графтом — это почти всегда потеря результата наращивания костной ткани, поскольку трансплантат, пока он не васкуляризировался и не заселился живыми клетками, не имеет защиты и легко инфицируется. А инфицированный графт, как ты уже догадался, никогда не будет биоинертным, а потому не интегрируется.
Нет-нет, да появляются в стоматологическом информационном пространстве лихачи, продвигающие методики, типа IDR, когда имплантация, наращивание костной ткани и десны, а также протезирование проводятся в один этап. Дебилов немало — они придумывают модные аббревиатуры VV1E («все-в-один-этап») и прочие «бабасэ». Они даже демонстрируют, типа, успешные результаты лечения — разумеется, умалчивая о рисках, осложнениях и неудачах, не говоря уже о долгосрочном, более пяти лет, наблюдении. Поклоняясь золотому тельцу, они изо всех сил борются со здравым смыслом, медицинской этикой и целесообразностью, их главный лозунг: «Ну вот видите! Это работает!». А то, что демонстрируемый ими случай может быть единственным удачным из десяти неудачных — так это, как бы, остается за кадром.
К чему это приводит? Вне зависимости от метода остеопластики, негерметичная рана приводит к инфицированию графта и утрате результата остеопластики. Учитывая то, что графт не принимает никакого участия в стабилизации имплантатов, последняя реализуется за счет крайне ограниченного объема костной ткани, а потому вывихнуть такие имплантаты даже незначительной нагрузкой не легко, а очень легко.
Что делать? Как бы ни соблазняли тебя всякими IDR, VV1E и бабасэ, запомни: остеопластика требует герметично ушитой операционной раны. Неважно, с имплантатами она проводится или без.
Какой-нибудь редкий и эксклюзивный авторский косяк.
Сложно перечислить все возможные осложнения после операций остеопластики, еще сложнее определить их причины. Но одну из них можно назвать довольно внятно — это когда доктор, руководствуясь внезапным вдохновением, вносит в операцию какую-нибудь свою «авторскую» фишку. Например, я встречал коллегу, который перед укладкой промывал графт спиртом, а затем пропитывал гелем «Метрогил Дента». И называл это «авторским» ноу-хау, даже лекции по этому поводу собирался читать. Я общался с докторами, которые свято верили в гомеопатию, использовали медицинский клей для фиксации барьерных мембран, и много-много такого, что вызывает оторопь и желание спросить: «Блять, вы в своём уме?».
В наращивании костной ткани нет никаких секретов, патофизиология воспаления, регенерации костной ткани, интеграции имплантатов изучены довольно хорошо. По крайней мере, существующих на сегодня знаний более, чем хватает. И прежде, чем придумывать что-то новое и уж тем более — заявлять о своих «авторских фишках», — неплохо бы изучить то, что уже наработано по этой теме.
А то со всеми этими новаторами в стоматологии получается, как обычно: опять изобретают велосипед, но кривой-косой, без седла и колес. А потом еще пытаются убедить нас, что на этом обязательно нужно ездить.
* * *
Напоследок, я возьму на себя смелость сделать несколько важных ремарок:
— сочетание остеопластики с одновременной имплантацией ставит целью ускорить, упростить и удешевить стоматологическую реабилитацию пациента. При сопоставимых рисках, разумеется. Если эта цель недостижима, то лучше отказаться от такого подхода в пользу более консервативных решений.
— мы проводим остеопластику для выполнения имплантологического правила #2. Если при реализации означенного подхода второе правило имплантологии не выполнимо — лучше пойти другим путём. Например, сначала провести остеопластику, а затем — всё остальное.
— планируя подобную операцию, думай о возможных рисках, а не о тех деньгах, которые ты можешь заработать. Чрезмерные риски — это повод обратиться к более традиционному и привычному подходу, отдельной остеопластике и отсроченной имплантации.
Риск уместен, если он касается только тебя. Рисковать здоровьем других людей может только конченный деби… — а ты уверен, что правильно выбрал профессию?
Подумай об этом.
Спасибо, что дочитал до конца.
С уважением, Станислав Васильев.































Комментарии
Пока нет комментариев.