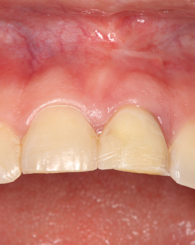
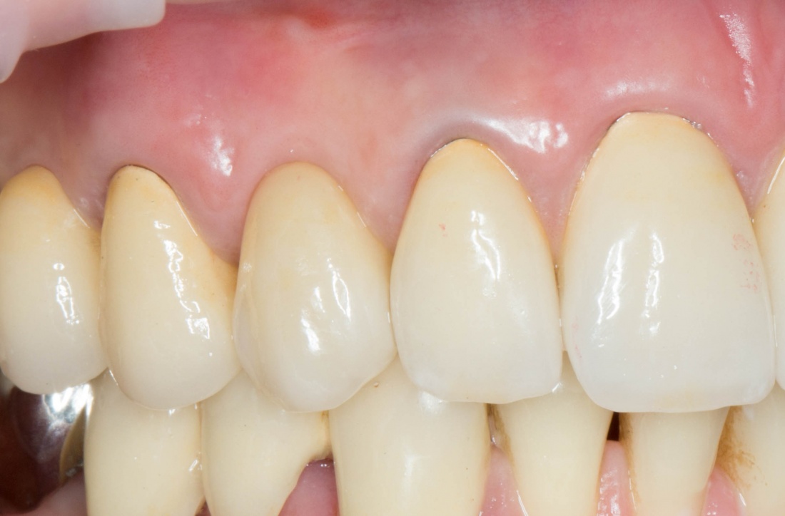
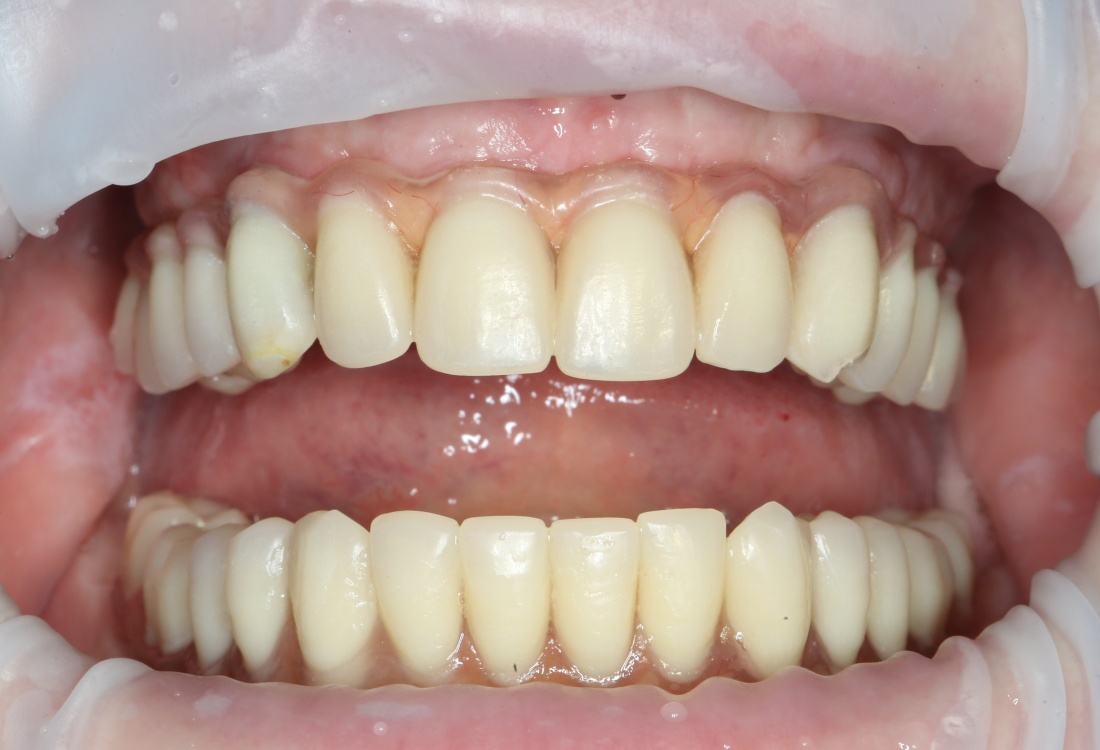
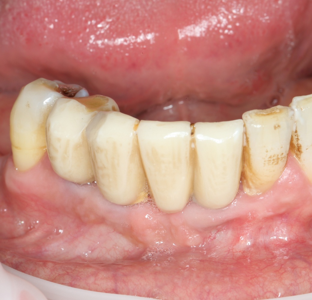
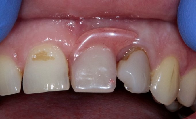
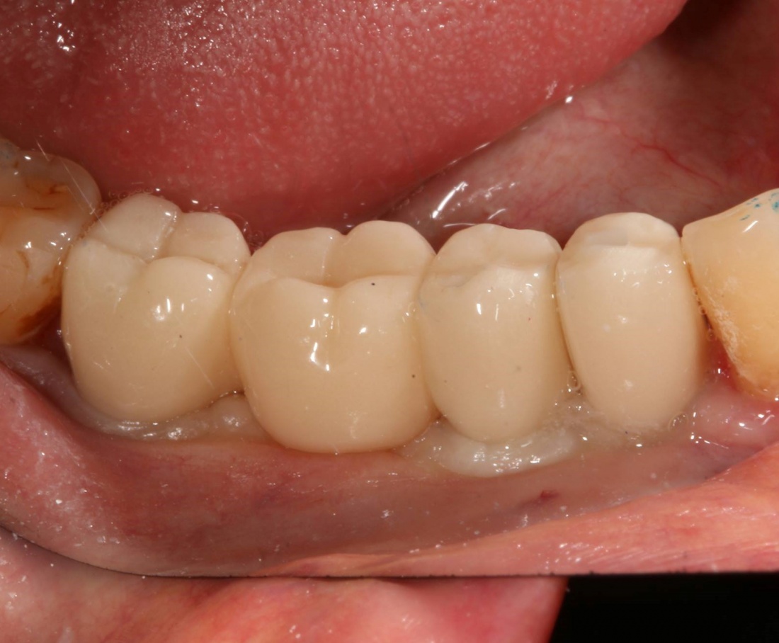
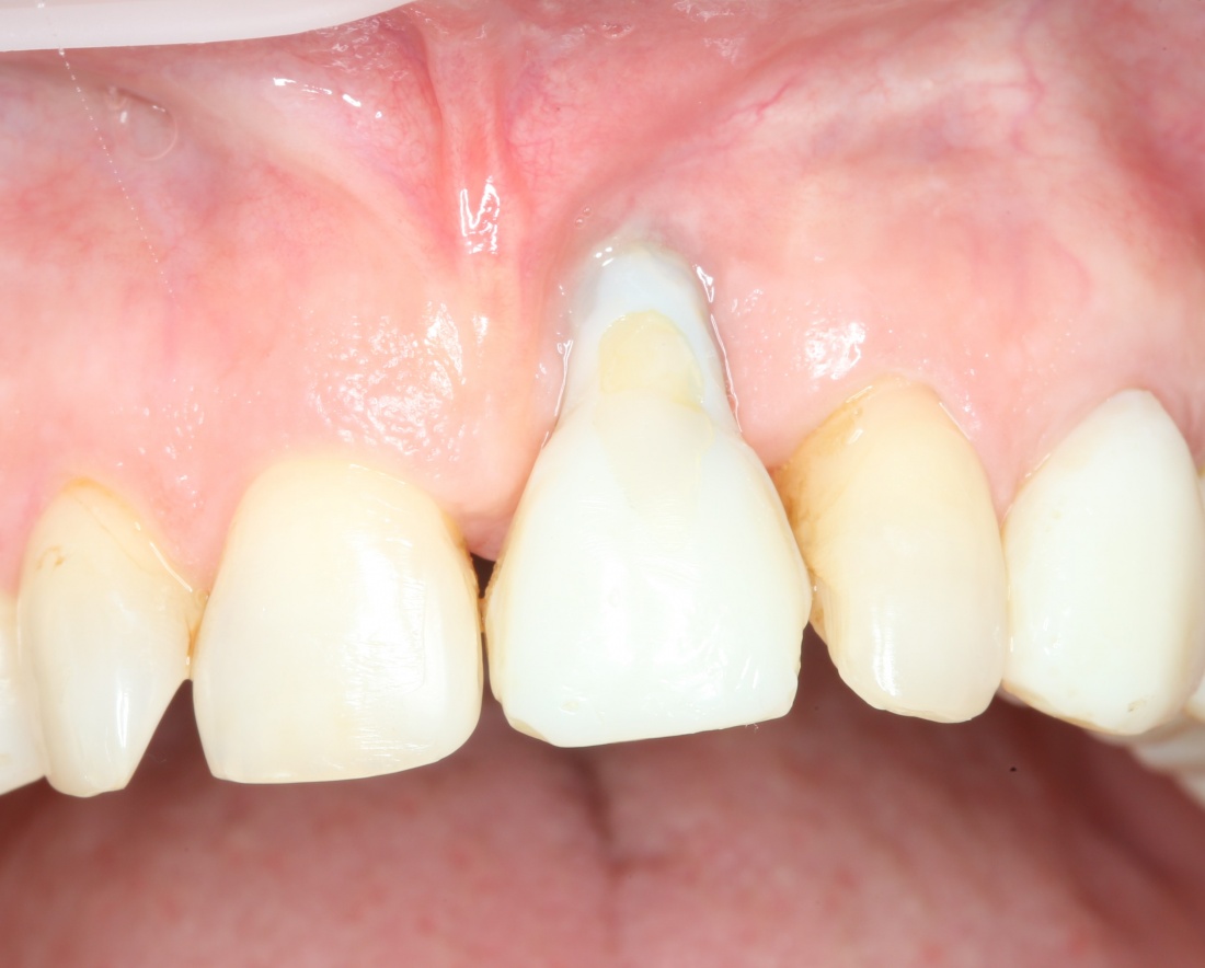
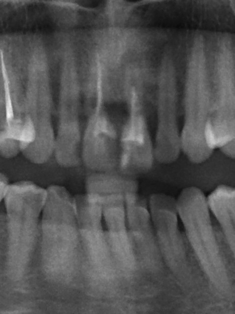
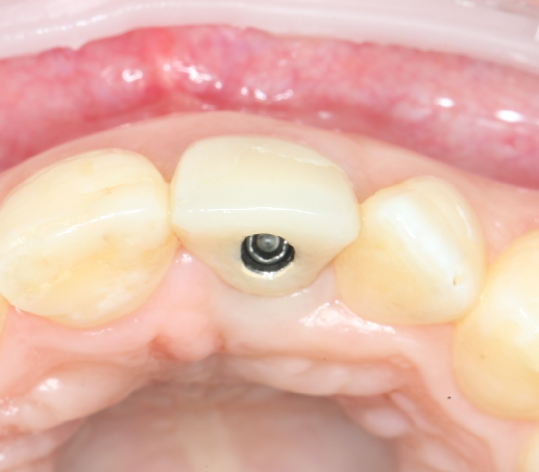
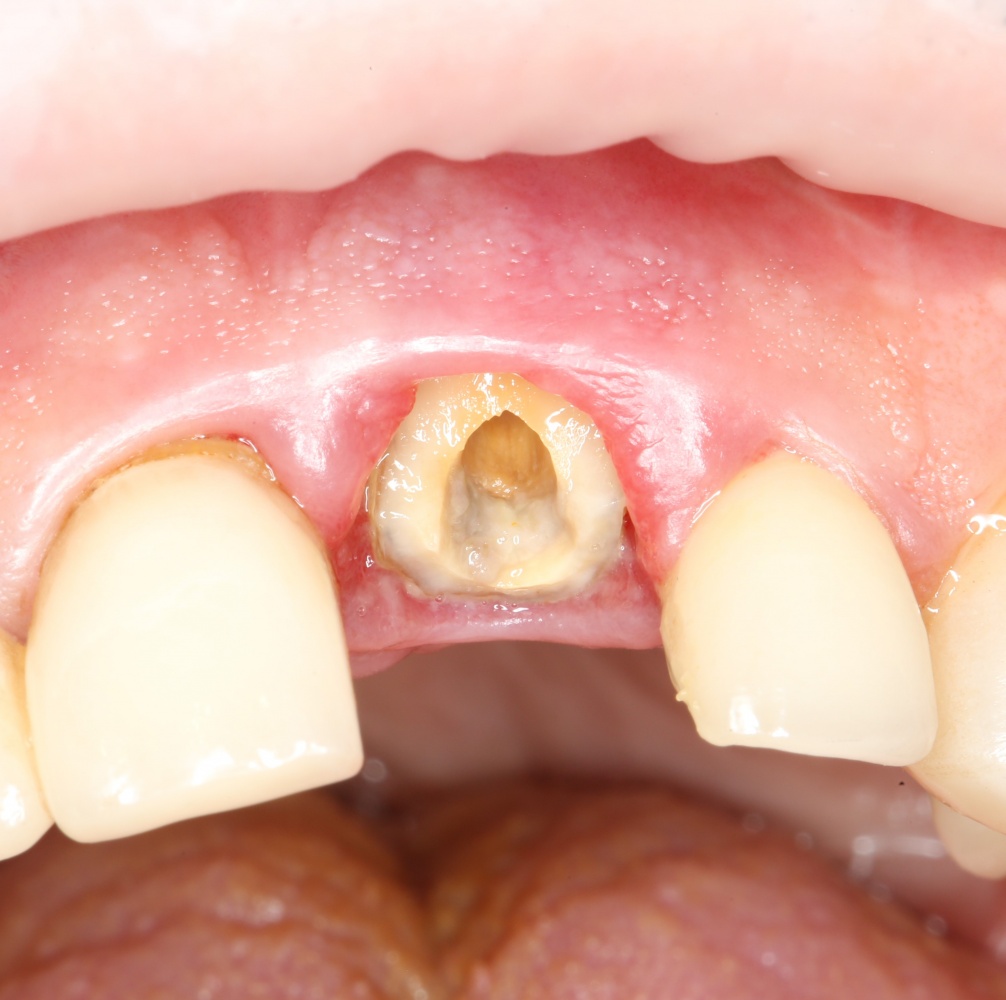
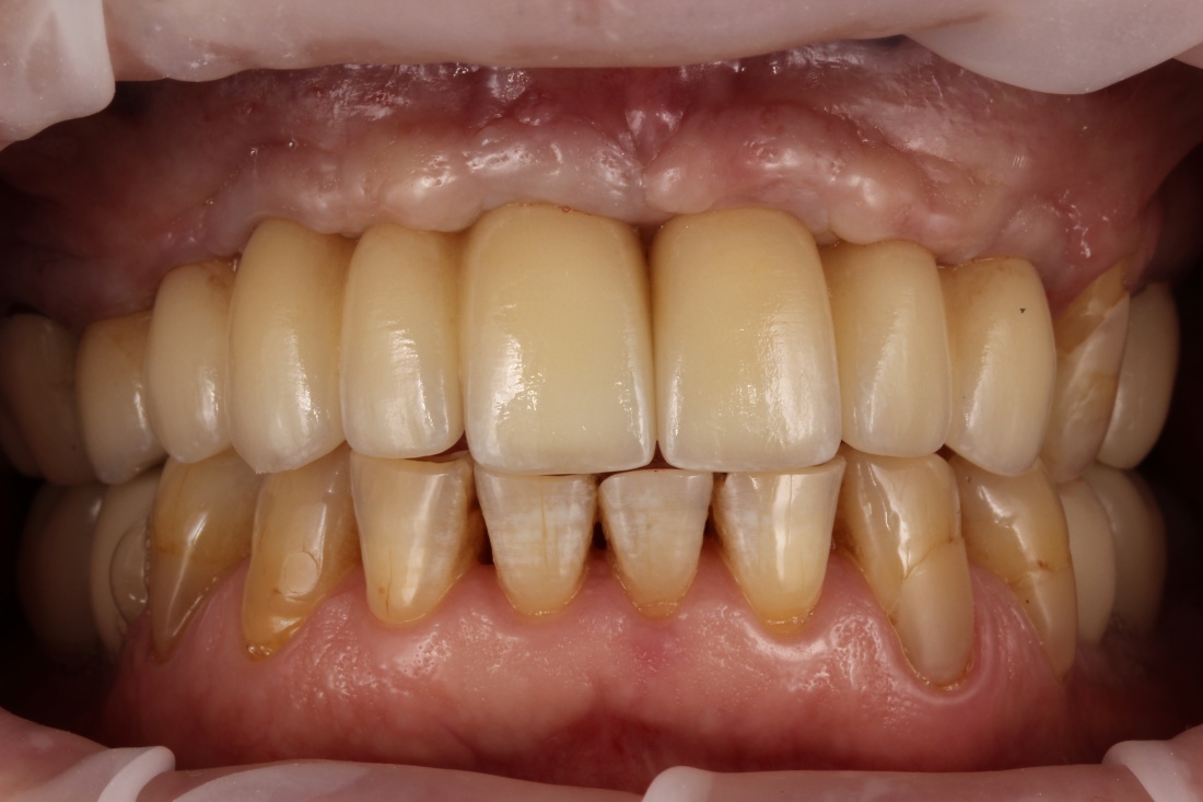
Рекомендации по установке имплантов. Для всех. Часть V.