Куда уходит костный блок?
Превед всем.
Я тут случайно вспомнил, что завтра в Саратове RegenerationDay, поэтому решил рассказать вам одну остеопластическую историю и кое-что обсудить.
Если честно, не очень люблю я это дело — выкладывать свои работы со словами, типа «смотрите все, как я умею». В основном, публикации на моём сайте или в блоге посвящены разъяснению каких-то вопросов, и в качестве обоснования собственных мыслей и доводов я привожу клинические примеры из практики, но… сегодня я буду вести себя как 146% стоматологов, поэтому смотрите и завидуйте наслаждайтесь.
* * *
История такова.
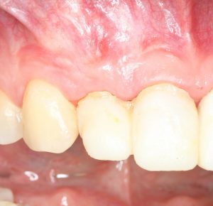
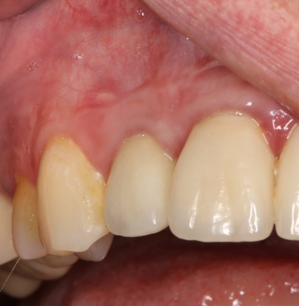
Некоторое время назад, году эдак в 2012 к нам в клинику обратилась пациентка. Анамнез грустный — в одной из клиник провели имплантацию с остеопластикой в области бокового резца, но что-то пошло не так, в результате ей сказали «смиритесь», посоветовали забыть об имплантате и порекомендовали мостовидный протез с опорой на соседние зубы:
на фото выше еще видны рубцы от предыдущей операции, а дефект зубного ряда восстановлен временной консолью с опорой на центральные резцы.
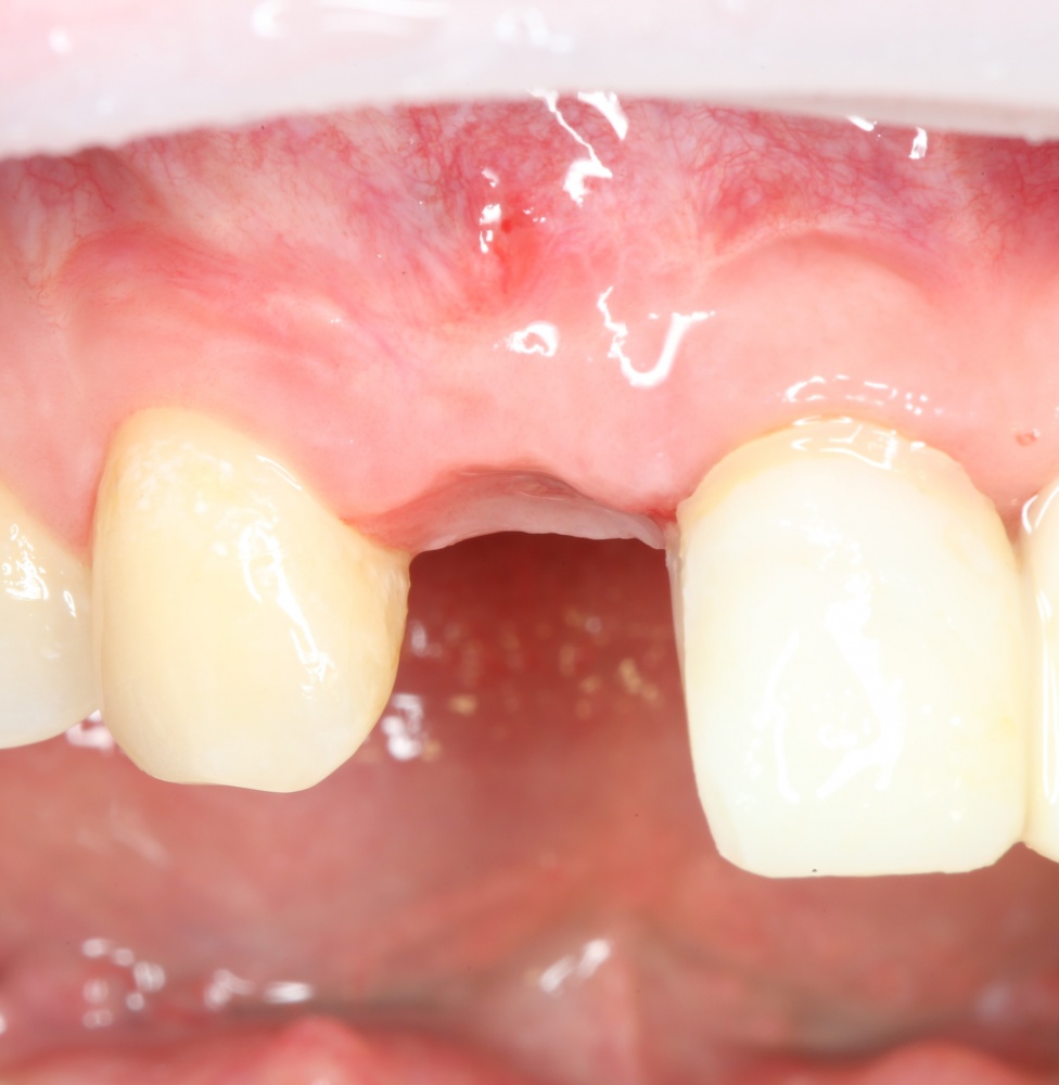
И действительно, утрата кости оказалась значительной, хотя сама форма дефекта альвеолярного гребня кажется мне благоприятной и легко устранимой (почему — читайте здесь или welcome на RegenerationDay):
В то время мне очень нравилась методика аутотрансплантации костных фрагментов. Сейчас это лишь один из множества используемых в нашей клинике остеопластических техник, а в то время чуть ли не 75% пациентов проходили через эту операцию на этапах подготовки к имплантации. Ну, впрочем, и клиника в то время была другая….
С помощью двух небольших по размеру костных фрагментов, получили нужную форму. Как мы это сделали — показать не могу, ибо села батарейка в фотоаппарате…
Через 4 месяца мы получили вот что:
Посмотрим, что внутри?
Вы видите два костных блока, фиксированных двумя винтами — так мы получили прирост не только по толщине, но и по высоте альвеолярного гребня. Мы не использовали в этой работе какие-либо биоматериалы, обошлись даже без барьерной мембраны — вот почему я называю эту методику не только одной из самых надежных, но и самой дешевой, не требующей каких-то особых навыков или специальных инструментов.
Всё, что нам остаётся — это убрать винты и поставить имплантат. XiVE, естественно:
Тогда я был не настолько смелый, чтобы вести подобные имплантаты «в открытую». Поэтому поставим заглушку и наложим швы:
Через три месяца мы поставили формирователь десны (тогда особо не злоупотребляли гингивопластикой, даже в эстетически значимой зоне), и пациентка ушла протезироваться в другую клинику.
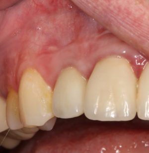
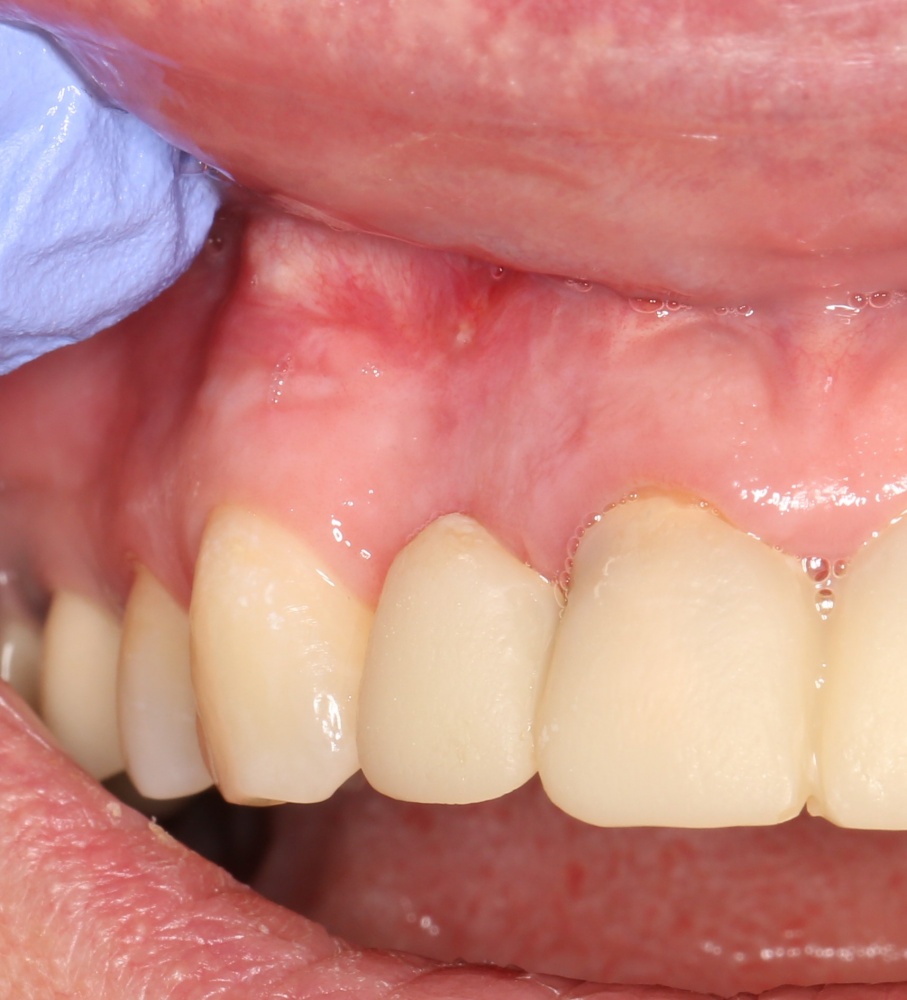
И… я бы благополучно забыл об этом случае, если бы несколько дней назад эта пациентка не заглянула к нам в клинику на профилактический осмотр. Признаться, я был приятно удивлён той картине, которую увидел в области проведенной пять лет назад (!) остеопластики и имплантации:
Снимок:
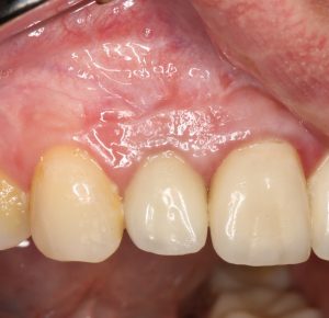
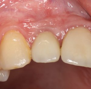
Ну и, картинка общая:
Да, с гигиеной не так всё хорошо, но профилактические осмотры для того и нужны, чтобы это выявлять и устранять. Интересующий нас зуб (на фото — второй от центра слева) выглядит вполне естественно, состояние тканей вокруг него более, чем приемлемое, результат остеопластики не утрачен. А ведь прошло уже немногим больше пяти лет!
* * *
В общем, уважаемые друзья, для чего я решил всё это вам показать?
Первое — это похвастаться. Приятно, когда пациенты про тебя не забывают, а видеть, что результат лечения не утрачен даже из-за неудовлетворительной гигиены — приятно вдвойне.
Второе — это еще раз показать, что всему на свете есть причина. Истории о том, что «со временем костный блок деградирует и уходит» не лишены основания, но этому «уходу блока» есть причина. И мы её с вами вскорости разберём, отдельной статьёй. Хотя, вопрос утраты регенерата обсуждался и ранее. Например, здесь и здесь.
Третье — это то, что результат имплантологического лечения — это не установленный имплантат и не установленная на имплантат коронка. Утверждать, что «всё у нас получилось» можно лишь через некоторое, весьма значительное время, за которое не теряется эстетический и функциональный результат лечения, качество жизни пациента и т. д.
Четвертое — что не зря профилактические осмотры являются неотъемлемой частью гарантийного соглашения между клиникой и пациентом. Не нужно их игнорировать.
А в остальном, уважаемые друзья, я готов ответить на все ваши вопросы в комментариях к этой статье прямо на этом сайте.
Спасибо за внимание!
С уважением, Станислав Васильев.

































Комментарии
Пока нет комментариев.