Формирование и сохранение десневого контура на системе XiVE: стандартные и расширенные решения.
Очень скоро, уже на следующей неделе, во городе Ницца, Прованской области Французской Республики состоится World Summit Tour организованный компанией Dentsply. Информации по мероприятию полно, например здесь>> и здесь>>.
И, так уж сложилось, что я оказался одним из участников этого мероприятия:

И я отниму 25 минут вашей жизни лишь для того, чтобы в очередной раз потешить своё ЧСВ и рассказать о простой, в общем-то, теме:
формирование и сохранение десневого контура: стандартные и расширенные решения
Разумеется, мы рассмотрим это на примере имплантационной системы XiVE, так уж исторически сложилось. И, разумеется, то, что я вам расскажу и покажу, вполне может быть реализовано на других имплантационных системах с равнозначно успешным результатом.
Это не XiVE.
И это не XiVE.)
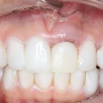
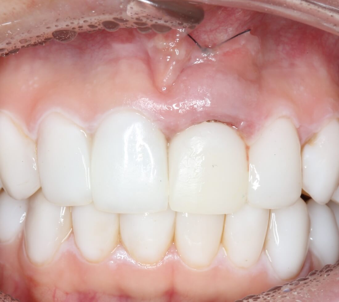
А вот это всё уже XiVE. Причём, с разницей в неделю. Так называемая «немедленная имплантация» с так называемой «немедленной нагрузкой».
Почему я вообще решил об этом поговорить?
На то есть две причины.
Причина #1.
Долгое время я считал, что формирование десны — это наиболее слабое место в имплантационной системе XiVE. Особенно, если сравнивать её с той же Astratech или иной системой, включающей в себя конические формирователи различных диаметров.
Действительно, даже сейчас я периодически слышу от некоторых докторов про запах из-под формирователей, срезанные шлицы, сложность в формировании контура прорезывания и т. д. То есть, проблема существует.
С другой стороны, XiVE предлагает максимальное число решений для формирования десны, было бы глупо и недальновидно их игнорировать. И с того момента, как мы стали использовать систему на полную катушку и по определенному алгоритму, все проблемы вдруг резко исчезли — а это значит, что они были не в конструктиве системы, а в наших головах.
Об этом я тоже предлагаю поговорить.
Причина #2.
Бесконечно вижу в фейсбуке работы своих коллег по немедленной имплантации и формированию десны, 99,99% из которых включают в себя тот или иной вариант мукогингивопластики. Обычно, с пересадкой свободных лоскутов, «конверты», «шашлыки» и всё такое….
И у меня возникает резонный вопрос:
А всегда ли это нужно? Всегда ли оправдано усложнение операции, расширение операционной раны и т. д.? И можем ли мы получить достойный результат, не прибегая к пересадке лоскутов и дополнительной аугментации десны? И, самое главное — где та грань между ситуациями, когда гингивопластика, бесспорно, необходима, и случаями, когда мы можем получить нужный десневой контур без всяких извращений?
Вопросы, вопросы, вопросы….
Чтобы ответить на них, в течение 2016-2017 годов, мы тихо и незаметно проводили исследование, охватившее почти 700 клинических случаев, самое долгое наблюдение по которым 7 лет, самое короткое — 6 месяцев. Мы пригласили в клинику всех пациентов с ранее установленными имплантами, до которых смогли дотянуться). Это была сложная и рутинная работа, которая затрахала меня настолько, что в какой-то момент я даже думал о том, чтобы бросить всё это нафиг и свалить в Урюпинск.
Мы изучали изменение десневого контура в течение 6 месяцев после удаления зуба или/и немедленной имплантации, зависимость этих изменений от типа формирователя (при немедленной имплантации и немедленной нагрузке). Мы использовали все возможные варианты формирования и сохранения десневого контура, которые даёт имплантационная система XiVE и, должен отметить, существенно улучшили свою работу в этом направлении.
И результатом всех этих изысканий стало…. А вот, что стало — вы узнаете на российском пре-конгрессе World Summit Tour, 22 июня, в Ницце. Ну, или чуть позже, когда я всё это опубликую.
До встречи! С уважением,

























Комментарии
Пока нет комментариев.