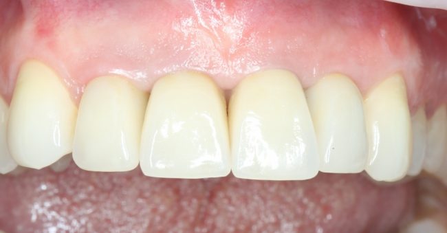
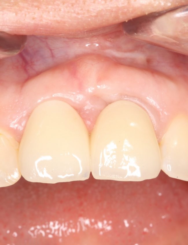
ДенталЭкспо, 24 сентября, 11-00, стенд SIMKO «СОХРАНЕНИЕ И ФОРМИРОВАНИЕ ДЕСНЕВОГО КОНТУРА: возможные решения»