Зубы мудрости. Показания к удалению.
Уважаемые друзья, недавно в одном из известных стоматологических сообществ прошла интересная дискуссия на тему удаления зубов мудрости. И, честно говоря, это довольно забавно — мы тут про нанотехнологии рассуждаем, в космос летаем, а в имплантологии проводим такие операции, которые еще 5-10 лет назад казались невозможными, но до сих пор никак не можем выработать однозначной позиции по поводу удаления/сохранения зубов мудрости.
Я уже неоднократно об этом писал. Здесь, здесь и здесь. Да, я не профессор, не доктор наук и не преподаватель, не отягощен прочими свистелками-перделками, благодаря которым мое кунг-фу мнение могло бы быть более сильным, чем какого-нибудь чудика с кафедры хирургической стоматологии. Но все же, я хотел бы обратиться к вашему разуму, здравому смыслу и логике, ибо полагаю, что они лежат в основе любой науки, в том числе и медицинской.
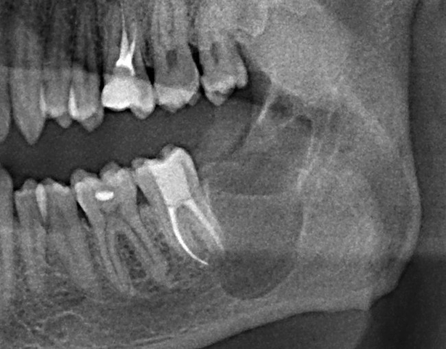
Для начала, покажу вам несколько снимков.
К нам в клинику обратился молодой человек с целью плановой санации: почистить зубной налет, вылечить кариес и т. д. Перед лечением ему сделали панорамный снимок. На снимке вот это:

Напомню, он пришел с целью плановой санации, а это значит, что ни зуб мудрости, ни киста. ни что-то там еще его не беспокоят. А теперь, внимание, вопрос ко всем вам:
— Нужно ли удалять зуб мудрости?
Следуя логике некоторых из моих коллег, а именно «если не беспокоит — не трогать«, этот зуб мудрости и кисту удалять не нужно. Не беспокоит же! Вот когда заболит, тогда придете! Слышали такие рекомендации? Я тоже слышал, причем неоднократно. Причем, от очень «авторитетных» (кавычки неспроста) специалистов.
Однако, если мы так все оставим, то, скорее всего, это приведет вот к такой ситуации, при которой мы всерьез будет рассуждать уже не только об удалении выросшей кисты и зуба, но и о сохранении соседних зубов и части нижней челюсти вообще. Скажет ли пациент «спасибо», когда узнает, что именно наше бездействие привело к таким результатам? Мы, конечно, в ответ можем помахать списком литературы и ссылками на «авторитетные» (кавычки неспроста) источники, но станет ли ему от этого легче? Вряд ли.
Да, друзья, любая хирургическая операция или просто медицинская манипуляция сопряжена с риском. Местная анестезия…. да, черт с ним!… даже прием витаминов может негативно сказаться на здоровье человека и привести к серьезным проблемам (читайте «Противопоказания и побочные эффекты» к любому витаминному препарату). Но при этом никому, за исключением, разве, что самых упоротых, не приходит в голову отрицать их важность для нашего организма.
Удаление зуба — это тоже риск. Удаление ретинированного зуба мудрости — особенно. Вопросы лишь в том, насколько риск соразмерен последствиям невмешательства, и как часто бывают какие-то проблемы после удаления. И на эти вопросы ответы очень простые:
— риск осложнений значительно меньше, чем возможные последствия невмешательства.
— проблемы после удаления ретинированных зубов мудрости бывают не чаще, чем после удаления обычных зубов.
Вернусь к нашему клиническому случаю. Да, ни зуб мудрости, ни киста, которая из-за него возникла, нашего пациента не беспокоят. Тем не менее, все вы видите явные показания к удаления и ретинированной восьмерки, и кисты.
Что мы и делаем. До удаления я попросил нашего терапевта Михайлову Елену депульпировать соседний седьмой зуб, поскольку, по данным КЛКТ, его корни выходили в просвет кисты. Жалко, конечно. Но вот, такие коварные эти зубы мудрости.
Итак, удаляем зуб и кисту.
Это занимает, в общей сложности, около получаса: 10 минут на удаление зуба, еще 15 минут на удаление кисты и наложение швов.

Представьте себе — 30 минут. И все. Нет никаких угроз здоровью.
После операции в таких случаях совершенно обычными являются отек, незначительные болезненные ощущения и т. д. Пациент получает стандартные рекомендации по послеоперационному режиму, курс антибактериальной противовоспалительной терапии и остается полностью работоспособным.
Повторюсь: РАБОТОСПОСОБНЫМ! А это значит, что ни стационар, ни больничный лист после таких операций, чаще всего, не нужны.
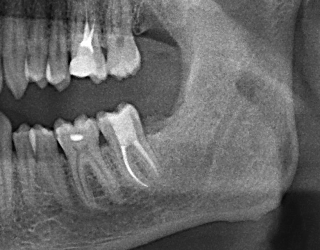
Вот снимок, примерно, через год после удаления.

Ни от зуба, ни от кисты не осталось и следа. Чего мы и хотели добиться.
Про похожую, но гораздо более масштабную работу, можно почитать здесь>>
* * *
Казалось бы, все очевидно. Если есть проблема — нужно удалять. Если есть угроза возникновения проблемы — нужно ликвидировать угрозу, тогда и не будет проблемы. В контексте описанного выше случая — если бы зуб мудрости был удален ранее, возможно, не было бы никакой кисты, и нам бы не пришлось депульпировать седьмой зуб.
Если все так просто, то почему столько неоднозначных мнений по поводу удаления восьмерок?
Существуют два источника этих мнений: врачи и пациенты.
Почему некоторые доктора отговаривают удалять зубы мудрости?
Ответ простой.
— потому, что боятся.
А боятся потому, что не умеют этого делать. Я, например, пока боюсь пилотировать вертолет. Потому, что не умею. Но это не значит, что вертолет — какая-то опасная штука, и нужно всех отговорить летать на вертолетах. Если вы чего-то не умеете — это не значит, что это невозможно, так ведь?
Причем, я бы не сказал, что удаление зубов мудрости, даже самых-самых ретинированных — это какая-то очень сложная, в техническом отношении, операция. При должных навыках и наличии необходимого оборудования, она занимает 10-15 минут.
Почему пациенты боятся удалять зубы мудрости?
Ответ тоже очень простой.
— потому, что Интернет. Если начнете гуглить в интернете «удаление зубов мудрости«, вы скорее всего, столкнетесь с массой негатива: у одного щека опухла, у второго возникла стойкая парестезия, у третьего все болит уже четвертую неделю… Создается впечатление, что положительного опыта удаления зубов мудрости ни у кого вообще нет! Так ли это на самом деле?
Давайте рассмотрим вот какой пример. Десяти пациентам удалили зубы мудрости. У восьми из них всё прошло нормально, у двух возникли осложнения: у одного возник отек, у второго — длительные болезненные ощущения. Скорее всего, восемь пациентов, у которых все прошло хорошо. не полезут в интернет и не будут тратить времени на описание своих эмоций и ощущений — ибо, зачем? У них итак все хорошо! Два пациента с осложнениями, наоборот, либо пожалуются своим френдам в соцсетях (особенно, если доктор их жалобы не слышит), либо полезут искать ответы на возникшие вопросы по своему состоянию (особенно, если доктор внятных ответов не дает). Получается, что доля осложнений (которые, к тому же, успешно лечатся и проходят) у нас 20%, но доля негативных отзывов в сети получится 100% (у двух проблемы, и двое написали). Другими словами, отражают ли отзывы в интернете реальную картину осложнений по конкретной операции, методике или доктору?
Нет, не отражают. Смиритесь с этим. Интернет, особенно социальные сети, по уровню чепухи и бреда давно уже приблизился к телевизору и советским газетам.
Бывают ли ситуации, когда зубы мудрости действительно лучше оставить и не удалять?
Да, такие ситуации бывают. По сути, их две:
— зубы мудрости находятся в зубном ряду, в правильном положении, функциональны и интактны (т. е. не повреждены кариесом). При этом, с прикусом у пациента все в порядке.
— если предполагается использование этих зубов при ортодонтическом лечении — перемещение, дополнительная опора и т. д. Разумеется, при этом восьмерки также должны быть интактны и находиться в подходящем положении: горизонтальные ретинированные зубы вытянуть в правильное положение, практически, невозможно.
Как вы, наверное, догадались, такие условия случаются нечасто. Определить их можно только после соответствующей диагностики (например, функционального анализа) и консультаций (например, ортодонта). Конечно же, это касается тех зубов, состояние которых спорно: если речь идет о горизонтально расположенном ретинированном зубе мудрости, то есть ли смысл отнимать время у ортодонта или тратить деньги на функциональный анализ?
Скажите, имеет ли смысл думать об удалении/сохранении такого зуба:

Конечно нет! Тем более, ситуация аналогична предыдущему случаю. Удаляем. Без сожалений!
И вот картинка через год:

Как видите, все просто.
Справедливым было бы отметить, что существует единственная ситуация, по которым точно нельзя дать однозначный и категоричный ответ:
— если риск удаления выше, чем последствия невмешательства.
Но тут, как вы понимаете, все зависит от того, кто удаляет, как удаляет, в каких условиях удаляет, а также то, как пациента реабилитируют после удаления. Ведь любую, даже самую простую хирургическую операцию можно осложнить так, что пациент просто ее не перенесет.
Итак, мы с вами подходим к главному вопросу, который я вынес в заголовок статьи:
Каковы показания к удалению зубов мудрости?
При всей сложности вопроса, ответ на него можно сформулировать одной фразой:
— любая из проблем, связанных с зубами мудрости, а также риск возникновения этих проблем являются показанием к их удалению.
И всё.
Теперь давайте рассмотрим различные клинические случаи через данную парадигму:
— ретинированные зубы мудрости. Существует риск возникновения кист, разрушения корней соседних зубов. Удалять.
— перикоронарит. Уже возникшее осложнение, связанное с тем, что зубам мудрости не хватает места для прорезывания. Удалять.
— неправильно расположенные зубы мудрости (дистопия или аномалия положения). Им не хватило места в зубном ряду, они не функциональны и, в дальнейшем, будут приводить к мышечно-суставным и ортодонтическим проблемам. Удалять.
— кариес дентина или пульпит зуба мудрости. Их лечение — штука неблагодарная (частые рецидивы плюс техническая сложность), при полном отсутствии функциональности. Удалять.
и так далее.
При этом, не нужно ждать, когда проблема или осложнение себя проявит. Рано или поздно, это произойдет, и пациент придет уже не простым удалением зуба, но и с кистой, острой болью, проблемным прикусом и чем-нибудь еще.
В общем-то, это и называется профилактической медициной — удаляя зубы мудрости, мы с вами предотвращаем другие, гораздо более серьезные проблемы.
Ну а, профилактика… у кого из вас еще есть сомнения в ее важности.
* * *
Уважаемые друзья, завершая эту статью, я хотел бы задать вам один вопрос.
Уже очень давно, мы совместно с Ассоциацией Молодых Стоматологов вынашиваем идею семинара, целиком посвященного удалению зубов, в том числе ретинированных зубов мудрости. Целевая аудитория — студенты, интерны, клинические ординаторы и начинающие стоматологи. Все-таки, удаление зубов — это самая распространенная хирургическая операция в мире, ее должны уметь делать врачи всех специальностей.
Как вы считаете, был бы такой семинар актуальным?
Спасибо, что дочитали до конца.
С уважением, Станислав Васильев.













Если будет курс по удалению я первый в списке )))
Курс точно будет. И точно осенью)