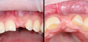
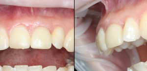
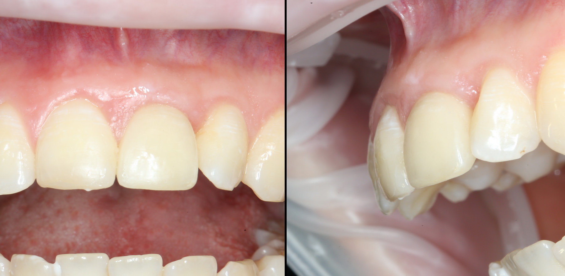
Имплантация и остеопластика (наращивание костной ткани): вместе или врозь? Часть I.