28 февраля, пятница. 21:00. Междисциплинарный Стоматологический Клуб.
Здравствуйте.
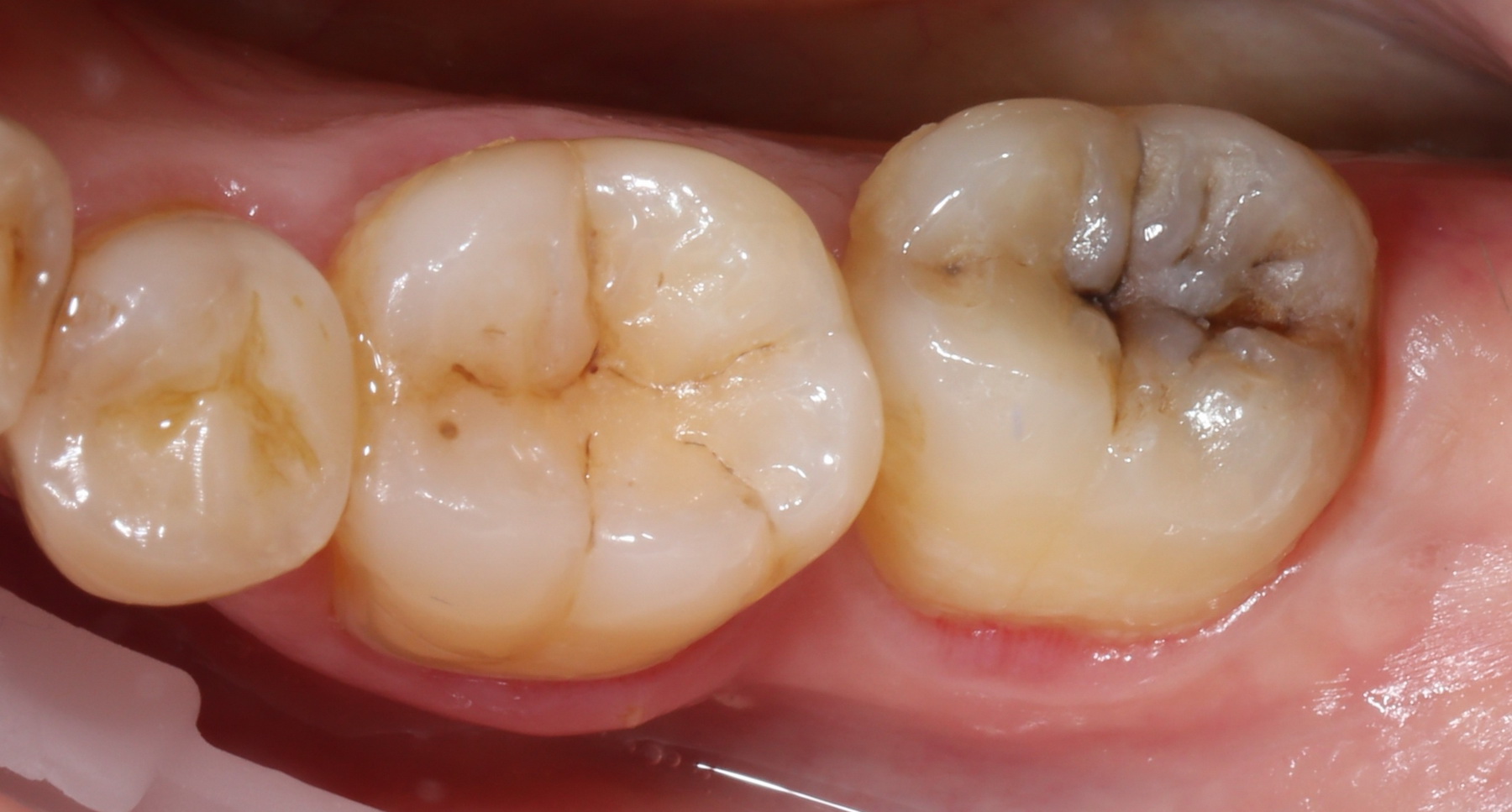
Очередное, четвертое по счету, заседание Междисциплинарного Стоматологического Клуба будет посвящено прямым реставрациям. Например, таким, как эта:
Мы поговорим о пломбах, об эстетике, о подготовке к реставрации и, конечно же, о различных вариантах восстановления зубов. Модератором темы будет мой коллега Макаров Артур, чьи работы вы неоднократно видели у меня в блоге.
Попутно обсудим общих пациентов, поговорим на разные темы. Ну, или просто познакомимся.
Приглашаются все желающие. Требования к участникам всё те же:
- наличие диплома врача-стоматолога и стоматологической практики
- переносимость табачного дыма
- лояльность к алкогольным напиткам.
Заседание пройдет в сигарном клубе «Робусто». В общем, курим, пьем, общаемся. Культурно проводим время, так сказать).
До встречи!
















Комментарии
Пока нет комментариев.