Добро пожаловать!

Привет! Я Станислав Васильев, стоматолог-хирург, автор самых популярных книг по имплантации зубов серии «Наставлений…» и шеф КЛИНИКИ ИН. Это мой персональный сайт — отражение моей ежедневной практики, опыта и знаний. Всё, что ты здесь прочитаешь — написано лично мной специально для тебя. Ты найдешь здесь оригинальные статьи по имплантации зубов, хирургии полости рта, наращиванию костной ткани и еще много-много всего.
Также ты можешь задавать вопросы и комментировать любую статью прямо здесь, без дополнительной регистрации. Я не оставлю твой вопрос или мнение без внимания.
Спасибо, за то, что ты здесь! Приятного чтения!

ПОЛЕЗНОЕ

  • - ПОСЛЕДИПЛОМ.рф - интернет-магазин, где можно купить мои книги, первый том "Базовые принципы" и второй том "Немедленная имплантация" серии "Наставлений по дентальной имплантации".
  • КЛИНИКА ИН - стоматологическая клиника, где я работаю. На сайте масса полезной информации для пациентов, плюс возможность записаться на консультацию.
  • Телеграм-группа КЛИНИКИ ИН - место для новостей, объявлений, ответов на твои вопросы, общения и разговоров на самые разные темы. Обязательно подпишись!
  • Живой Журнал - здесь можно найти мои более ранние публикации по стоматологическим темам и не только.

Что почитать?

Новое в блоге:

Если ваш случай не является экстренным (нет острой боли, отека, воспаления, ухудшения самочувствия, не травма), то лучше созвониться с администраторами клиник, где я работаю, и записаться на плановую консультацию/прием. Только так я смогу уделить вам достаточное количество времени.

Lрузья, давайте сегодня поговорим об одной весьма интересной методике «наращивания костной ткани» — расщеплении альвеолярного гребня

Всё начинается с отпуска. С 6 по 17 мая меня ждет путешествие на историческую родину

Уже скоро буду в Новосибирске. Приготовил лекцию по остеопластике. Поэтому приглашаю всех желающих поучаствовать в семинаре

Прочитаю небольшую лекцию о немедленной имплантации в сложных случаях. Девиз лекции: «когда нельзя, но очень хочется».

Хочу немного порассуждать о природе страха перед стоматологическим (хирургическим, в частности) лечением и о том, как его преодолеть.

Две причины, по которым стоит посетить этот семинар

Превед. Кого тошнит от слова «пиар» — пожалуйста, проходите мимо. Потому что именно этим я буду сейчас заниматься.

Санкт-Петербург — Москва — Новосибирск!

Разрез, его форма и размер — это всегда компромисс между нормальным обзором операционной области и бактериальной обсемененностью раны и травматичностью операции для пациента.

На этот раз #XIVEDAY расширяет географию — лекции пройдут 20 февраля в Москве (учебный центр «Симко») и 21 февраля в Нижнем Новгороде (отель «Ока»).

Встречный вопрос: а зубы во время беременности можно удалять?

Можно. По экстренным показаниям, разумеется. Например, при острой боли, воспалении, перикоронарите и т. д. Иногда в первые месяцы беременности проводится плановая санация — ведь в женской консультации требуют справку от стоматолога, верно?

Обсудим разные методики, их применимость в различных клинических ситуациях, коснемся темы использования биоматериалов, побеседуем о планировании, подготовке и проведении остеопластических операций. Разумеется, не забудем про ошибки и осложнения, способы их профилактики и лечения.

Поговорим о том, чем заканчивается операция немедленной имплантации.

Я готовлю новую лекцию, версия 3.0, так сказать. Думаю, что получится лучше и интереснее, чем раньше. Вообще, все лекции, начиная с самой первой, отличаются друг от друга в той или иной степени. Просто мне скучно читать одно и то же каждый месяц. Вот я и вношу изменения.

Дорогие друзья, я желаю вам войти в Новый Год с такими же мыслями, как этот велосипедист на дороге. И неважно, как вы провели год предыдущий — пусть Новый, 2015-й Год будет лучше!

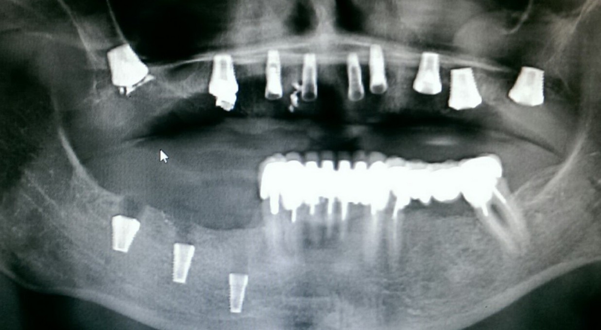
Cегодня я хотел бы показать вам одну работу, которую я начал более года назад. А заодно рассказать о ее нюансах. Вы знаете, что секретов у меня нет, поэтому буду рад вашим вопросам и ремаркам в комментариях

Заседание хирургической секции Российского Стоматологического Общества и ставший уже традиционным #XIVEDAY

Что будет, если практическим врачам доверить проектирование и строительство больницы?

В современной стоматологии и имплантологии возможно всё. Другой вопрос — сколько это займет времени и сколько ресурсов потребует.

Моя коллега, врач Наталья Сметнева написала открытое письмо В. В. Путину с просьбой остановить оптимизацию московского здравоохранения. Оно доступно здесь, и, тем кто с ним согласен, я бы рекомендовал подписаться. Я же пока свою подпись не поставил, ибо, как говорят некоторые дочери офицеров, «не всё у нас тут так однозначно».

Цель имплантологического лечения — не воткнуть импланты так, чтобы они прижились, а создание надёжной и долговечной опоры под планируемую ортопедическую конструкцию.

В общем, требуется хороший стоматолог, специалист по эндодонтическому лечению зубов.

Давным давно, примерно на третьем курсе, я решил стать хирургом. Причем, не просто хирургом, а ХИРУРГОМ-ХИРУРГОМ. Таким, как Владимир Оппель или Николай Пирогов.

Друзья, а чего это мы всё об имплантологии, да об имплантологии? Так можно подумать, что вся хирургия полости рта — это сплошная имплантология. На самом деле, конечно же нет, есть масса других интересных и актуальных тем.

С сентября группа компаний «Симко» и Dentsply Implants возобновляют дни открытых дверей «ХiVE» (#XiVEDAY). Ближайшие мероприятия пройдут
в Москва — учебный центр «Симко» и в С.-Петербурге -СПбИНСТОМ

Вчера вечером произошло событие, которое слегка изменило мои планы. В общем, я попал в аварию.

Даты и места проведения следующих семинаров XiVE-Day

Некоторое время назад я весьма скептически относился к необходимости консервации лунок после удаления зубов для сохранения объема окружающих тканей.