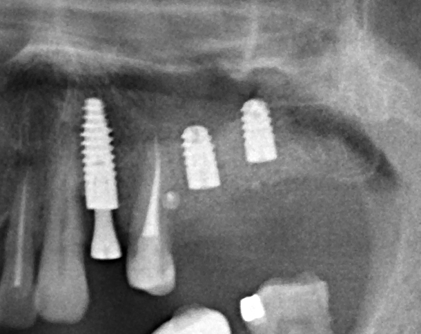
Имплантация и остеопластика: вместе или врозь? Часть II плюс Ankylos, плюс Geistlich