Опыт применения коллагеновой матрицы Mucograft в клинической практике.
7 июня в конгресс-холле отеля Lotte прошла небольшая закрытая конференция по программе клинических исследований Mucograft, организованная компанией Geistlich и ее российским партнером, группой компаний «Симко».
На ней были обобщены результаты работы с материалом Mucograft, которую в течение года проводили мои коллеги и я. Каждый из докторов, участвовавших в программе, выступил с докладом, на котором поделился своими клиническими случаями и наблюдениями и опытом использования коллагеновой матрицы Mucograft.
Следует отметить высокий уровень как самих докладов, так и присутствовавшей публики. Для меня было огромной честью оказаться за одним столом с известнейшими наикрутейшими имплантологами России и коллегами из Швейцарии. Выражаю им огромную признательность за внимание ко мне и моему докладу, который чуть было не сорвался из-за технического сбоя.
Презентацию к моему докладу можно скачать и посмотреть здесь>>
А сегодня я расскажу вам о своем опыте использования коллагеновой матрицы Mucograft на примере одного клинического случая (он был включен в презентацию) и длительном наблюдении результата лечения. Данная статья предназначена, прежде всего, для врачей, поэтому я заранее приношу извинения за некоторые не очень приятные картинки.
Но, чтобы и вы могли оценить возможности материала Mucograft (и правильной хирургии), я покажу Вам две картинки:
Слева — ситуация до лечения. Справа — картинка через полтора года после протезирования.
А теперь я подробнее расскажу об этой работе.
К нам в клинику обратилась пациентка, возраст чуть более 70 лет. Несколько месяцев назад ей поставили два импланта Astratech в область отсутствующих премоляров верхней челюсти, при этом не был учтен существующий объем мягких и твердых тканей. Около месяца назад на импланты установили формирователи десны:
Сложившаяся ситуация с объемом окружающий тканей не устроила ни ортопеда, ни пациентку: у нее высокая линия улыбки, поэтому премоляры и десна над ними попадают в эстетически значимую область. Ну и что, что больше 70 лет — женщина в любом возрасте хочет иметь красивую улыбку, верно?
А без соответствующего объема десны, коронки на имплантах выглядели бы, мягко говоря, неестественно. Представьте сами — нормальные полноразмерные коронки, изготовленные в соответствии с размером и формой оставшихся зубов, и тонкая-тонкая десна над ними. Помимо эстетики, у пациентки непременно были бы проблемы с гигиеной, поскольку между коронками и тонкой десной постоянно скапливался бы зубной налет и остатки пищи. Со временем это привело бы к периимплантиту. Поэтому перед нами была поставлена задача — воссоздать утраченный объем мягких тканей, не удаляя импланты. Чем мы, собственно, и занялись.
Сразу оговорюсь, что это был второй опыт использования материала Mucograft, а сама операция проведена в 2011 году летом. То есть, с момента операции прошло почти 2 года и, как вы понимаете, за это время мы стали умнее и опытнее. Сейчас этот результат кажется мне не самым лучшим, но в тот момент, когда мы приступали к работе, другой альтернативы не видели.
Итак, всё началось с анестезии. Затем был проведен послойный разрез слизистой оболочки и надкостницы, из которых сформированы два отдельных лоскута.
Формирователи десны временно удалены. Обратите внимание, что разрез слизистой оболочки и надкостницы делается на разных уровнях. Это сделано для удобства последующего наложения швов.
В поднадкостничное пространство помещается материал Geistlich BiOss. Его задача — воссоздать объем костной ткани. Затем укладывается FRP-мембрана (изготовленная из тромбоцитарной массы, на надкостницу накладываются швы Vicryl 6-0. Достаточно, буквально, 2-3 лигатур, чтобы удержать надкостницу на месте.
ВАЖНО, чтобы линия швов не находилась над остеопластическим материалом. В противном случае мы можем получить свищевые ходы и неудачный исход операции.
Затем, поверх надкостницы и надкостничных швов, укладывается коллагеновая матрица Geistlich Mucograft:
После чего она фиксируется узловыми швами к надкостнице и краям слизистой раны. В данном случае — Gore-Tex 6-0.
ВАЖНО для фиксации мембраны использовать нерезорбируемый шовный материал — Prolene, Gore-Tex, Resolone и др. Применение резорбируемого шовного материала, особенно плетеного (типа Vicryl) может привести к образованию лигатурных свищей. На результат работы это, практически, не влияет, но всё равно очень неприятно.
Итак, фиксация матрицы:
Операция закончена.
Пациентке назначается комплексная антибактериальная противовоспалительная терапия, витаминотерапия (обязательно), рекомендуется тщательная гигиена полости рта.
ВАЖНО, при данных операциях велико желание назначить какие-нибудь кератопластические мази, типа «Солкосерил» или «Метрогил-Дента». Так вот, делать этого не нужно. Опыт (и не только мой) показывает, что качество заживления послеоперационной раны без мазей лучше, нежели с ними. Собственно, сами полоскания, особенно антисептическими растворами, особенно Хлоргексидином — также назначать осторожно, без фанатизма.
Послеоперационный период сопровождается небольшими отеками и болезненностью. Через 2 дня послеоперационная рана выглядит следующим образом:
Через неделю:
Через три недели мы приступаем к повторной установке формирователей десны. К этому времени область операции выглядит следующим образом:
На первый взгляд, нам удалось восстановить как и объем тканей, так и область прикрепленной десны (хорошо видно на левом фото).
Установка формирователей десны. Разрез делается, по возможности, небно, чтобы еще больше увеличить вестибулярный объем десны. Мы должны понимать, что она еще немного атрофируется:
Послеоперационный период — без особенностей. Антибактериальная терапия не назначается, обезболивающие препараты — по мере необходимости.
ВАЖНО при открытом ведении ран с целью ускорения эпителизации имеет смысл назначать витамин С в больших дозировках — до 1 г в сутки. Если рассматривать Аскорутин (50 мг витамина С+50 мг витамина Р), то назначается, примерно 10 таблеток в сутки, поскольку рутин несколько снижает потребность организма в витамине С и способствует его усвоению.
Через две недели после установки формирователей десны картина следующая:
Сравните это с первыми фотографиями. На мой взгляд, изменения очень заметны.
Некоторое время ждем полной эпителизации раны. Через месяц после установки формирователей десны (и почти два месяца после начала лечения):
Да, у пациентки есть некоторые проблемы с гигиеной. Нужно обязательно обращать на это внимание.
ВАЖНО убедить пациента в том, что импланты коронки на них требуют такого же полноценного ухода, как и свои собственные зубы.
Далее работу с пациенткой продолжает врач-ортопед. Нам остается лишь наблюдать.
На импланты премоляров устанавливаются металлокерамические коронки на индивидуальных абатментах. Фотография сразу после протезирования:
Окружающая десна еще не адаптирована к коронкам, и, на первый взгляд, существует несколько проблем:
- Недостаточно выраженные межзубные сосочки
- Рецессия десны в области медиального корня шестерки — на тот момент мы просто не умели надежно их закрывать.
- Не было полной уверенности, что созданный объем тканей сохранится какое-то время. Поэтому решено продолжить динамическое наблюдение.
* * *
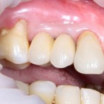
Через 10 месяцев после проведенной операции мы пригласили пациентку на профилактический осмотр. Картинка следующая:
Как видите, конфигурация десны несколько изменилась. Пришеечная часть слизистой оболочки адаптировалась к коронкам, появились подобия межзубных сосочков. Объем окружающих тканей не уменьшился.
Мы можем говорить об успешно проведенном лечении.
Однако, наблюдение не прекращается. Недавно, почти через два года с момента начала лечения, мы вновь пригласили пациентку на профилактический осмотр. На мой взгляд, ситуация улучшилась:
Пациентка довольна проведенным лечением. Мы тоже. Фактически, остеопластика и пластика мягких тканей были проведены после имплантации, при этом удалось существенно изменить и удержать объем окружающих имплантаты мягких тканей, не прибегая к реимплантации.
Сравните еще раз:

Слева направо:
- до лечения
- через 5 недель после начала лечения, на этапе установки формирователей десны
- через 8 недель после начала лечения, сразу после протезирования
- почти через два года после начала лечения, профилактический осмотр.
Такие дела.
Если будут вопросы или комментарии — пишите, всегда рад обсудить.
Спасибо за внимание.
С уважением, Станислав Васильев.


































Комментарии
Пока нет комментариев.